점액낭면 파열인데, 주사로는 한계래요
선생님, 저 점액낭면 파열이래요. 주사치료 받았는데 자꾸 재발해요.
30대 중반의 남성 환자분이 내원하셨습니다. 수영을 즐기시는 분으로, 자유형과 접영을 주로 하신다고 합니다.
1년 전쯤 어깨가 아파서 MRI 찍었더니 '점액낭면 부분파열'이래요. 주사치료 받으니까 괜찮아져서 다시 수영했는데... 몇 달 지나니까 또 아프고. 주사 또 맞고, 또 수영하고, 또 아프고... 이게 벌써 세 번째예요.
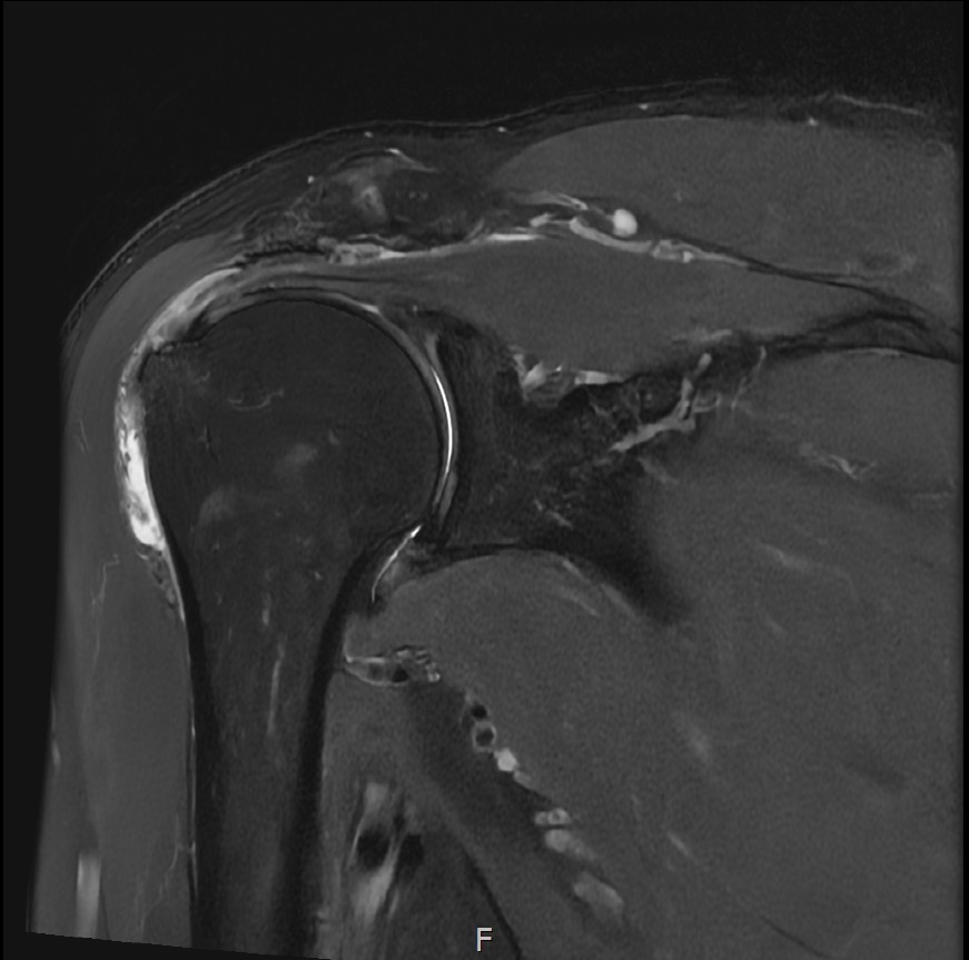
MRI를 검토해보았습니다.
회전근개 극상건의 점액낭면측(bursal-side) 부분파열. 처음보다 파열 범위가 약간 넓어져 있었고, 인대가 얇아진 소견도 보였습니다.
선생님, 관절면 파열이면 축소봉합술이라고 하셨는데, 저처럼 점액낭면 파열은 어떻게 해요?
저는 환자분께 말씀드렸습니다.
점액낭면 파열에는 리제네텐이라는 콜라겐 패치 치료가 있습니다. 손상된 인대에 패치를 덧대어, 인대를 두껍고 튼튼하게 재생시키는 방법입니다.
점액낭면(외측) 파열의 특성
지난 장에서 관절면측 파열과 축소봉합술에 대해 설명드렸습니다.
점액낭면측 파열은 다른 특성을 가지고 있어, 다른 치료 접근이 필요합니다.
점액낭면 파열이란?
점액낭면측(bursal-side) 파열은 회전근개의 위쪽, 즉 점액낭에 면한 부분(외측)이 손상된 것입니다.

관절면측 파열과의 차이
| 구분 | 관절면측(내측) | 점액낭면측(외측) |
|---|---|---|
| 위치 | 인대 아래쪽 (뼈 부착부) | 인대 위쪽 (표면) |
| 혈류 | 부족 | 상대적으로 양호 |
| 자연치유 | 매우 어려움 | 가능성 있음 |
| 주요 문제 | 부착부 분리 | 인대 얇아짐/약화 |
| 치료 접근 | 물리적 봉합 | 덧대어 강화/재생 |
점액낭면 파열의 문제
점액낭면측은 관절면측보다 혈류가 좋아 자연 치유 가능성이 있습니다.
그러나 문제가 있습니다:
1. 인대가 점점 얇아집니다
파열이 반복되면 인대 조직이 소실되어 점점 얇아집니다. 얇아진 인대는 약해져서 더 쉽게 손상됩니다.
2. 재생주사만으로는 '두께'를 회복하기 어렵습니다
재생주사는 손상 부위에 재생 성분을 공급하지만, 이미 얇아진 인대를 원래 두께로 복원하는 데는 한계가 있습니다.
3. 반복적인 손상 → 악순환
얇아진 인대 → 쉽게 손상 → 더 얇아짐 → 더 쉽게 손상... 악순환이 반복됩니다.
처음 말씀드린 환자분이 바로 이런 경우였습니다.
리제네텐(Regeneten)이란?
리제네텐은 이 문제를 해결하기 위해 개발된 바이오인덕티브 콜라겐 임플란트입니다.
핵심 개념: '덧대어' 재생을 유도한다
리제네텐의 핵심은 패치를 덧대는 것입니다.
손상된 인대 위에 콜라겐 패치를 부착
패치가 스캐폴드(발판) 역할
우리 몸의 세포들이 패치 위에서 새로운 인대 조직을 생성
6개월 후 패치는 완전히 흡수되고, 새 인대 조직만 남음

바이오인덕티브(Bioinductive)의 의미
리제네텐은 단순한 '패치'가 아닙니다.
바이오인덕티브(Bioinductive) = 생물학적 재생을 '유도'한다
패치가 세포의 이동과 증식을 유도
콜라겐 합성을 촉진
우리 몸 스스로 새로운 인대 조직을 만들게 함
이식된 패치가 그냥 붙어있는 것이 아니라, 능동적으로 재생을 유도합니다.
리제네텐의 구성
리제네텐은 고순도 제1형 콜라겐으로 만들어집니다.
원료: 소(牛)의 아킬레스건에서 추출
크기: 우표 크기 정도 (약 2.5 x 2.5cm)
특징: 생체적합성 우수, 면역 반응 최소화

논문으로 입증된 효과
리제네텐의 효과는 다수의 임상 연구로 입증되었습니다.
연구 1: 6개월 내 약 2mm 새 인대조직 생성
Smith+Nephew 사의 임상 연구에 따르면:¹
리제네텐 패치가 6개월 내 완전히 흡수됨
흡수되면서 약 2mm 두께의 새로운 인대 조직이 생성됨
생성된 조직은 원래 인대와 구별되지 않는 네이티브 조직
6개월 만에 인대가 약 2mm 두꺼워진다는 것입니다.


연구 2: 인대 두께 16% 증가 (4.52mm vs 3.9mm)
*Arthroscopy Journal*(2024)에 발표된 연구에 따르면:²
리제네텐 적용군: 인대 두께 4.52mm
대조군: 인대 두께 3.9mm
약 16% 두께 증가
통계적으로 유의한 차이(P = .024)로, 리제네텐이 인대를 두껍게 만든다는 것이 입증되었습니다.
연구 3: 완전한 통합, 염증 반응 없음
*PMC*(2022)에 발표된 연구에 따르면:³
6개월 후 조직검사에서 완전한 통합 확인
생성된 조직은 네이티브 인대와 구별 불가
염증 반응이나 이물 반응 없음
리제네텐은 안전하게 흡수되며, 자연스러운 인대 조직을 형성합니다.
연구 4: 재파열률 감소
*ScienceDirect*(2025)에 발표된 연구에 따르면:⁴
리제네텐 적용군의 재파열률: 28.6%
기존 문헌의 재파열률보다 낮은 수준
리제네텐이 인대를 강화시켜 재파열 위험을 줄인다는 것을 시사합니다.
| 항목 | 수치 | 출처 |
|---|---|---|
| 새 인대조직 생성 | 약 2mm | Smith+Nephew |
| 인대 두께 증가 | 16% (4.52 vs 3.9mm) | Arthroscopy 2024 |
| 흡수 기간 | 6개월 | PMC 2022 |
| 재파열률 | 28.6% (감소) | ScienceDirect 2025 |
시술 과정
리제네텐 적용의 실제 과정을 설명드립니다.
Step 1: 마취
상완신경총 차단 마취 또는 국소마취를 시행합니다.
전신마취 아님
당일 시술, 당일 귀가

Step 2: 손상 부위 확인
초음파로 점액낭면 파열 부위를 정확히 확인합니다.
파열 위치, 범위 확인
인대 두께 측정

Step 3: 리제네텐 패치 준비
패치를 손상 부위 크기에 맞게 준비합니다.
우표 크기의 콜라겐 패치
필요시 크기 조절

Step 4: 패치 부착
손상된 인대 위에 리제네텐 패치를 부착합니다.
초음파 유도 하에 정확한 위치에 부착
특수 앵커 또는 봉합사로 고정
패치가 인대 표면에 밀착

Step 5: 고정 확인 및 마무리
패치가 제대로 부착되었는지 확인하고 마무리합니다.
초음파로 패치 위치 확인
시술 부위 드레싱
전체 시술 시간은 약 20~30분입니다.
축소봉합술 vs 리제네텐: 어떻게 선택하나?
같은 부분파열이라도 위치에 따라 적합한 치료가 다릅니다.
| 파열 위치 | 특성 | 적합한 치료 |
|---|---|---|
| 관절면측(내측) | 부착부 분리, 물리적 봉합 필요 | 축소봉합술 |
| 점액낭면측(외측) | 인대 얇아짐, 덧대어 강화 필요 | 리제네텐 |
| 복합(양측) | 두 가지 모두 해당 | 복합 치료 |
정확한 진단이 선행되어야 적합한 치료를 선택할 수 있습니다.
플래티넘의원에서는 MRI와 초음파를 통해 파열 위치를 정확히 판단한 후 치료를 결정합니다.
시술 후 관리
시술 후 1~2주
가벼운 일상생활 가능
무거운 물건 들기 제한
팔 위로 드는 동작 자제
2~6주
점진적 활동 증가
가벼운 재활 운동 시작
가동범위 회복 운동
6주~3개월
패치가 흡수되면서 새 조직 형성 중
점진적 근력 강화
가벼운 운동 시작
3~6개월
새 인대 조직 성숙
점진적 운동 강도 증가
6개월 후 MRI로 인대 두께 확인
실제 케이스
케이스 1: 점액낭면 부분파열 + 인대 얇아짐
환자: 35세 남성, 수영 동호회
진단:
MRI: 극상건 점액낭면측 부분파열
인대 두께: 4.2mm (정상 5~6mm보다 얇음)
1년간 주사치료 3회, 반복 재발
치료:
리제네텐 콜라겐 패치 적용
결과:
6개월 후 MRI: 인대 두께 5.8mm (1.6mm 증가)
통증 소실
수영 복귀 (접영 제외, 자유형 위주)


케이스 2: 고강도 운동 후 반복 손상
환자: 28세 여성, 크로스핏
진단:
MRI: 극상건 점액낭면측 부분파열 (약 30%)
인대 두께: 4.5mm
3개월 전 재생주사 치료 후 재손상
치료:
리제네텐 + 4세대 재생주사 병행
결과:
6개월 후 MRI: 인대 두께 6.2mm (1.7mm 증가)
파열 부위 재생 확인
크로스핏 복귀 (오버헤드 동작 주의)


케이스 3: 점액낭면 + 관절면 복합 파열
환자: 42세 남성, 테니스
진단:
MRI: 극상건 복합 파열 (점액낭면 + 관절면)
양쪽 모두 손상
치료:
축소봉합술 (관절면측) + 리제네텐 (점액낭면측) 복합 치료
결과:
12주 후: 봉합 부위 안정, 패치 통합 중
6개월 후: 양쪽 모두 회복 확인
테니스 복귀


FAQ: 리제네텐에 대해 자주 묻는 질문
Q1. 리제네텐은 수술인가요?
비수술 시술입니다. 전신마취, 입원, 관절경이 필요 없습니다. 부위마취 또는 국소마취로 당일 시술, 당일 귀가가 가능합니다.
Q2. 패치가 몸에 남아있나요?
아닙니다. 리제네텐 패치는 6개월 내 완전히 흡수됩니다. 흡수되면서 새로운 인대 조직이 생성되어, 패치 자리에 본인의 인대 조직만 남습니다.
Q3. 소에서 추출한 콜라겐인데 안전한가요?
네, 안전합니다. 리제네텐은 고순도로 정제된 제1형 콜라겐으로, 면역 반응을 일으키는 성분이 제거되어 있습니다. 임상 연구에서 염증 반응이나 이물 반응이 없음이 확인되었습니다.
Q4. 효과가 얼마나 지속되나요?
생성된 새 인대 조직은 영구적입니다. 패치가 흡수된 후 남는 것은 본인의 인대 조직이므로, 특별한 관리 없이도 지속됩니다. 다만, 손상을 유발한 동작이 반복되면 재손상 가능성은 있습니다.
Q5. 주사치료랑 뭐가 다른가요?
주사치료는 재생 성분을 주입하는 것이고, 리제네텐은 구조적인 발판(패치)을 제공하는 것입니다. 주사는 얇아진 인대를 두껍게 하는 데 한계가 있지만, 리제네텐은 물리적으로 인대 두께를 증가시킵니다.
Q6. 축소봉합술과 함께 받을 수 있나요?
네, 가능합니다. 복합 파열(관절면 + 점액낭면)의 경우, 축소봉합술과 리제네텐을 함께 적용할 수 있습니다. 각각의 파열 위치에 맞는 치료를 복합적으로 시행합니다.
Q7. 시술 후 바로 운동해도 되나요?
아닙니다. 패치가 부착되고 새 조직이 형성되는 데 시간이 필요합니다. 처음 6주는 가벼운 일상생활만, 이후 점진적으로 활동을 늘려야 합니다. 본격적인 운동은 3~6개월 후를 권장합니다.
Q8. 어떤 운동이 위험한가요?
어깨에 반복적인 부하가 가는 운동이 위험합니다:
수영 (특히 접영, 자유형)
테니스/배드민턴 (오버헤드 스매시)
웨이트 트레이닝 (숄더프레스, 벤치프레스)
야구 (투구)
이런 운동을 하시는 분은 복귀 시기와 방법을 담당 의사와 상의하시기 바랍니다.
Q9. 비용은 얼마인가요?
리제네텐 패치 비용과 시술비가 포함됩니다. 정확한 비용은 진료 후 안내드립니다. 관절경 수술 대비 총 비용은 비슷하거나 저렴한 경우가 많습니다.
Q10. 나이 제한이 있나요?
특별한 나이 제한은 없습니다. 다만, 너무 고령이거나 인대 퇴행이 심한 경우에는 효과가 제한적일 수 있습니다. 개인별 상태에 따라 적합성을 평가해드립니다.
이 장의 핵심
점액낭면(외측) 파열의 문제:
- 인대가 점점 얇아짐
- 재생주사만으로 두께 회복 한계
- 반복 손상의 악순환
리제네텐이란:
- 콜라겐 패치를 손상 인대에 덧댐
- 패치가 발판(스캐폴드) 역할
- 6개월 내 패치 흡수 + 새 인대 생성
논문으로 입증된 효과:
- 새 인대조직 약 2mm 생성
- 인대 두께 16% 증가 (4.52 vs 3.9mm)
- 재파열률 감소
관절면 파열 → 축소봉합술
점액낭면 파열 → 리제네텐
참고문헌
임상 근거
리제네텐 적용군은 비적용군 대비 재파열률을 2/3 감소시켰습니다. 6개월 이내 패치가 완전 흡수되며, 네이티브 조직과 구별 불가능한 새 인대 조직이 형성됩니다.
Editorial Commentary: Bioinductive Collagen Implants Reduce Rotator Cuff Retear. Arthroscopy. 2024. PMID 38331362 ↗임상 근거
전향 연구: 리제네텐 적용 부위에 평균 1.84mm 두께의 새 인대 조직이 생성되었으며, 조직학적으로 네이티브 힘줄과 동일하고 잔여 콜라겐 임플란트·염증·이물반응이 없음이 확인되었습니다.
Bioinductive collagen implants facilitate tendon regeneration in rotator cuff tears. Arthroscopy. 2022. PMID 35674990 ↗이동규 원장에게 직접 진료 상담 받기
네이버 예약하기이동규 원장
연세대 석사 · 정형외과 전문의 · IBSE 인증 · 특허 4건
수술 전문의 출신 비수술 전문의. 어깨 수술의 한계를 직접 경험하고, 비수술 치료의 가능성을 넓히기 위해 플래티넘의원을 설립했습니다.