석회분쇄흡입술
수술 없이 어깨 석회를 1회에 제거
“석회가 너무 단단해서 못 뺀다”고 하셨나요? 그것은 방법의 문제입니다. 플래티넘의 3세대 분쇄흡입술은 단단한 석회도 1회 시술로 완전 제거합니다.
실제 환자 사례
“다른 병원에서 석회 빼는 시술을 3번이나 받았는데, 아직도 그대로래요. 3개월에 걸쳐 3회 시술을 받았는데 그때마다 '조금씩 빠지고 있다'고 했는데... 시술받고 나면 오히려 더 아프고. 결국 X-ray 찍어보니 석회가 거의 그대로래요. '석회가 너무 단단해서 주사로는 안 빠진다, 관절경 수술해야 한다'고... 선생님, 정말 수술밖에 방법이 없는 건가요?”
— 40대 초반 여성 환자, 플래티넘의원 내원
결론: 석회가 단단해서 못 뺀다? 그것은 방법의 문제입니다.
3세대 분쇄흡입술은 석회를 물리적으로 분쇄하기 때문에, 아무리 단단한 석회도 제거할 수 있습니다. 1~2세대 방식으로 실패한 환자에게도 효과적입니다.
석회는 왜 생기고, 언제 가장 아픈가?
석회성건염은 단순히 칼슘이 쌓이는 것이 아닙니다. 형성→휴지→흡수의 3단계를 거치며, 각 단계마다 통증 양상과 치료 방법이 달라집니다. 어느 단계인지 정확히 파악하는 것이 치료의 출발점입니다.
형성기 (Formative Phase)
통증 거의 없음힘줄 세포가 죽으면서 칼슘이 침착되기 시작하는 단계입니다. 석회가 아직 무르고 치약 같은 형태입니다. X-ray에서 흐릿하게 보이거나 보이지 않을 수 있습니다.
이 단계에서는 충격파나 주사치료로도 효과가 있습니다.
휴지기 (Resting Phase)
간헐적 둔통석회가 굳어지는 단계입니다. 분필 같은 단단한 덩어리가 됩니다. X-ray에서 하얀 덩어리로 선명하게 보입니다. 이 단계가 가장 오래 지속될 수 있습니다.
단단한 석회는 주사흡입술(2세대)로 제거가 어렵습니다. 3세대 분쇄흡입술이 필요합니다.
흡수기 (Resorptive Phase)
극심한 통증 (야간에도)석회가 자연 흡수되려는 단계입니다. 혈관이 침입하면서 석회가 무너지는 과정에서 강렬한 염증 반응이 일어납니다. 이 단계에서 응급실을 찾을 만큼 극심한 통증이 발생합니다.
흡수기에는 석회가 액체화되어 주사흡입술로도 제거가 가능합니다. 단, 극심한 통증 완화를 위해 즉시 시술이 필요합니다.
단계에 따라 치료가 달라집니다
형성기·흡수기는 석회가 무른 상태이므로 다양한 방법이 효과적입니다. 그러나 휴지기의 단단한 석회(분필형)는 1~2세대 방법으로 제거가 어렵습니다. 3세대 분쇄흡입술이 단단한 석회에 가장 효과적인 이유입니다.
석회 제거 방법의 3세대 발전
마치 믹서기로 갈아서 빨아내는 것처럼 — 아무리 단단해도 갈면 빨립니다.
| 방법 | 원리 | 단단한 석회 | 시술 횟수 | 인대 손상 |
|---|---|---|---|---|
| 1세대: 세척술(Lavage) | 식염수로 씻어냄 | ✗ 불가 | 여러 번 | 있음 |
| 2세대: 주사흡입술(Barbotage) | 녹여서 흡입 | △ 어려움 | 2~4회 | 있음 |
| 3세대: 석회분쇄흡입술 (플래티넘) 플래티넘 | 분쇄 후 흡입+세척 | ✓ 가능 | 1회 | 최소화 |
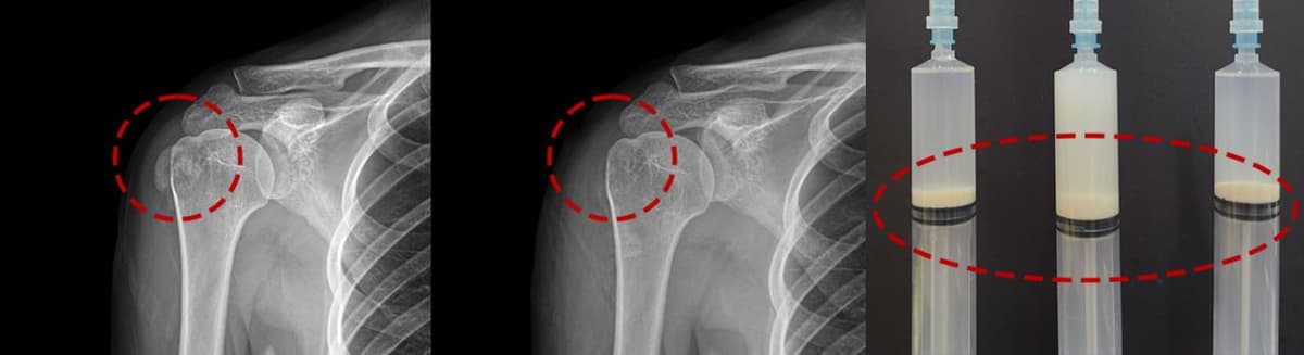
시술 전후 X-ray 비교
단단한 석회도 1회 시술 후 완전 제거. 실제 환자 X-ray입니다.

X-ray상 어깨 힘줄에 하얀 석회 덩어리가 선명하게 보입니다.

1회 석회분쇄흡입술 후 석회가 완전히 제거된 것을 확인할 수 있습니다.
특허받은 독창적 기술 3가지
특허 출원 특수 가이드
일반 주사바늘은 정확한 위치 선정이 어렵습니다. 플래티넘의 특수 가이드는 초음파 유도 하에 정확한 위치에 고정되어 흔들림 없이 시술합니다.
특수 제작 분쇄 기구
단순 주사바늘이 아닌 특수 제작 분쇄 기구로 석회를 물리적으로 분쇄합니다. 아무리 단단한 석회도 분쇄 가능합니다.
강력 흡입 + 인대 사이 세척
분쇄된 석회를 강력한 흡입으로 제거하고, 인대 사이사이에 낀 석회 잔여물까지 세척하여 완전 제거합니다.
당일 시술 · 당일 귀가
사전 진단
X-ray, 초음파, MRI로 석회의 위치, 크기, 경도 확인. 석회 단계(형성기/휴지기/흡수기) 판단.
마취
상완신경총 차단(BPB) 마취. 전신마취 없이 의식 유지. 마취 효과 확인 후 시술 시작.
분쇄 및 흡입
초음파 유도 하에 특수 분쇄 기구로 석회를 물리적으로 분쇄. 강력 흡입으로 제거 후 세척.
확인 및 귀가
초음파로 석회 제거 확인. 총 시술 시간 30~60분. 당일 귀가. 다음 날부터 가벼운 일상생활 가능.
석회분쇄흡입술 Q&A
석회성건염이란 무엇인가요?+
충격파 치료와 석회분쇄흡입술의 차이는?+
시술이 아프지 않나요?+
재발할 수 있나요?+
입원이 필요한가요?+
석회분쇄흡입술 특허 등록증
이동규 원장이 직접 개발·출원한 석회성건염 관련 특허입니다.
석회성건염의 역학적 특성
참고 문헌
한국인 석회성건염 환자 402명을 분석한 다기관 연구(Clinics in Shoulder and Elbow, 2021)에 따르면, 석회성건염은 여성에서 79% 발생하며, 평균 연령 55세, 평균 석회 크기 11.4mm로 보고됩니다. 또한 환자의 15%에서 회전근개 파열이 동반되어 석회 제거 후 파열 여부에 대한 추가 평가가 중요함을 강조합니다.
Kim YS, et al. Calcific tendinitis of the shoulder in the Korean population. Clin Shoulder Elbow. 2021;24(1):9-14. PMC7943381 ↗플래티넘의원은 단순 석회 제거에 그치지 않고, 동반된 인대 손상 여부까지 초음파·MRI로 정밀 확인한 뒤 필요 시 석회분쇄흡입술 + 축소봉합술 병합치료를 계획합니다.

