석회가 너무 단단해서 못 뺀다고요?
선생님, 다른 병원에서 석회 빼는 시술 3번이나 받았는데, 아직도 그대로래요.
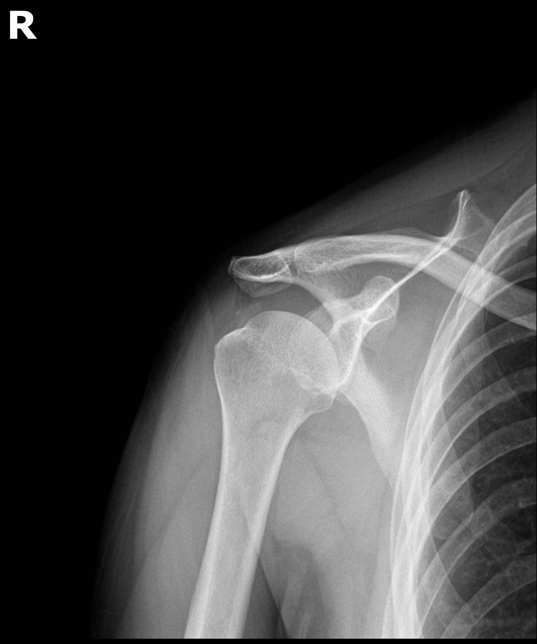
40대 초반의 여성 환자분이 내원하셨습니다. 1년 전부터 오른쪽 어깨에 극심한 통증이 있었고, 밤에는 잠을 잘 수 없을 정도였다고 합니다.
처음에 동네 정형외과에서 X-ray 찍으니까 석회가 있대요. 충격파 치료 받았는데 안 낫고, 그래서 석회 빼는 주사 시술 받으러 다른 병원 갔어요.
환자분은 3개월에 걸쳐 3회의 '석회흡입술'을 받으셨습니다.
그때마다 '조금씩 빠지고 있다'고 했는데... 시술받고 나면 오히려 더 아프고, 통증은 그대로고. 결국 다시 X-ray 찍어보니까 석회가 거의 그대로 있대요. 의사 선생님이 '석회가 너무 단단해서 주사로는 안 빠진다, 관절경 수술해야 한다'고...
환자분의 눈에는 지침과 두려움이 묻어 있었습니다.
선생님, 정말 수술밖에 방법이 없는 건가요?
석회 제거, 방법에 따라 결과가 완전히 다릅니다
결론부터 말씀드리겠습니다.
석회가 단단해서 못 뺀다? 그것은 '방법'의 문제입니다.
석회 제거 기술은 지난 수십 년간 발전해왔습니다. 초기의 단순한 방법으로는 제거가 어려웠던 석회도, 최신 기술로는 1회 시술로 깨끗이 제거할 수 있습니다.
문제는 모든 병원이 최신 기술을 갖추고 있지 않다는 것입니다.
석회 제거 방법의 발전
석회 제거 방법은 크게 세 가지 세대로 나눌 수 있습니다.
1세대: 세척술 (Lavage) - 씻어내는 방법
가장 초기 형태의 석회 제거 방법입니다.
원리:
석회 부위에 주사바늘을 삽입
생리식염수를 주입하여 씻어냄
석회가 식염수와 함께 흘러나오기를 기대

한계:
물에 잘 녹는 석회(흡수기)에만 효과적
단단한 석회는 씻겨 나가지 않음
석회를 흩어놓기만 하는 결과
오히려 염증 악화 가능
세척술은 마치 굳은 때를 물로만 씻으려는 것과 같습니다. 부드러운 때는 씻기지만, 굳은 때는 물만으로 안 됩니다.
2세대: 주사흡입술 (Barbotage) - 흡입하는 방법
세척술의 한계를 보완한 방법입니다. '바보타지(Barbotage)'라고도 불립니다.
원리:
두 개의 주사바늘 사용 (2-needle technique)
한쪽으로 식염수 주입, 다른 쪽으로 흡입
석회를 녹이면서 동시에 빨아냄

장점:
세척술보다 효과적
중간 경도의 석회 제거 가능
한계:
단단한 석회(형성기, 휴지기)는 여전히 어려움
흡입력의 한계 (주사기 흡입력)
석회가 크면 여러 번 시술 필요
주사바늘로 석회를 '찌르는' 과정에서 인대 손상 가능
주사흡입술은 빨대로 걸쭉한 음료를 빨아올리는 것과 비슷합니다. 묽으면 잘 빨리지만, 너무 걸쭉하면 안 빨립니다.
3세대: 분쇄흡입술 - 분쇄+흡입하는 방법
플래티넘의원이 시행하는 최신 석회 제거 기술입니다.
원리:
특수 제작된 기구로 석회를 물리적으로 분쇄
분쇄된 석회를 강력하게 흡입
인대 사이사이 낀 석회까지 세척하여 제거

핵심 차이:
단단한 석회도 분쇄하여 제거 가능
형성기, 휴지기, 흡수기 모든 단계 적용 가능
1회 시술로 완전 제거 가능
인대 손상 최소화
분쇄흡입술은 믹서기로 갈아서 빨아내는 것과 같습니다. 아무리 단단해도 갈면 빨립니다.
세 가지 방법 비교
| 구분 | 1세대 세척술 | 2세대 주사흡입술 | 3세대 분쇄흡입술 |
|---|---|---|---|
| 원리 | 씻어냄 | 녹여서 흡입 | 분쇄 후 흡입 |
| 기구 | 주사바늘 1개 | 주사바늘 2개 | 특수 분쇄 기구 |
| 적응 석회 | 흡수기(부드러운) | 흡수기~휴지기 | 모든 단계 |
| 단단한 석회 | ✗ 불가 | △ 어려움 | ✓ 가능 |
| 시술 횟수 | 여러 번 | 2~4회 | 1회 |
| 인대 손상 | 있음 | 있음 | 최소화 |
플래티넘 석회분쇄흡입술의 독창성
플래티넘의원의 석회분쇄흡입술은 단순히 '분쇄해서 흡입한다'는 개념을 넘어, 특허 출원된 독창적인 기술을 적용합니다.
독창성 1: 특허 출원 특수 가이드
일반 주사바늘은 정확한 위치 선정이 어렵습니다.
초음파로 보면서 찔러도, 바늘이 흔들림
석회 부위를 정확히 관통하기 어려움
주변 인대를 불필요하게 손상시킴
플래티넘의 특수 가이드는:
바늘 지름 사이즈의 정밀한 가이드
초음파 유도 하에 정확한 위치에 고정
가이드를 통해 기구가 들어가므로 흔들림 없음
인대 손상 최소화

독창성 2: 전용 분쇄 기구
일반 주사바늘로는 석회를 분쇄할 수 없습니다.
주사바늘은 '찌르는' 용도
단단한 석회를 만나면 밀려남
억지로 찌르면 인대만 손상
플래티넘의 전용 분쇄 기구는:
석회를 물리적으로 깨뜨리는 설계
단단한 형성기 석회도 분쇄 가능
분쇄와 동시에 흡입 가능한 구조

독창성 3: 강력한 흡입 + 세척 시스템
분쇄된 석회는 완전히 제거해야 합니다.
일반 주사기 흡입의 한계:
흡입력이 약함
큰 석회 조각은 안 빨림
인대 사이에 낀 석회는 제거 불가
플래티넘의 흡입 + 세척 시스템:
강력한 흡입력으로 분쇄 조각 제거
생리식염수로 인대 사이사이 세척
미세한 석회 가루까지 완전 제거

독창성 4: 모든 단계의 석회 제거 가능
석회는 시기에 따라 상태가 다릅니다.
형성기 (Formative phase):
석회가 막 생기는 단계
가장 단단함
일반 방법으로 제거 어려움
휴지기 (Resting phase):
석회가 안정된 단계
단단하거나 중간 경도
일반 방법으로 제거 어려움
흡수기 (Resorptive phase):
석회가 녹아 흡수되는 단계
부드러움, 치약 같은 농도
일반 방법으로도 제거 가능
다른 병원에서 "석회가 단단해서 안 빠진다"고 하는 것은 형성기나 휴지기 석회를 1~2세대 방법으로 시도했기 때문입니다.
플래티넘의 분쇄흡입술은 형성기, 휴지기, 흡수기 모든 단계의 석회를 제거할 수 있습니다.
| 단계 | 경도 | 1세대 | 2세대 | 플래티넘 |
|---|---|---|---|---|
| 형성기 | 매우 단단 | ✗ | ✗ | ✓ |
| 휴지기 | 단단~중간 | ✗ | △ | ✓ |
| 흡수기 | 부드러움 | △ | ✓ | ✓ |
시술 과정
플래티넘 석회분쇄흡입술의 실제 과정을 단계별로 설명드립니다.
Step 1: 마취
상완신경총 차단 마취를 시행합니다.
전신마취 아님 (의식 있는 상태)
어깨와 팔 전체가 마취됨
시술 중 통증 없음
시술 후 2~4시간 마취 지속

고령 환자, 기저질환 있는 환자도 안전하게 시술 가능합니다.
Step 2: 초음파 유도 하 가이드 삽입
초음파로 석회 위치를 실시간 확인하면서 특수 가이드를 삽입합니다.
피부에 작은 절개 (약 2~3mm)
가이드를 석회 바로 옆에 위치
인대를 관통하지 않고 석회에 직접 접근

Step 3: 석회 분쇄
전용 분쇄 기구를 가이드에 통해 삽입하여 석회를 분쇄합니다.
단단한 석회도 물리적으로 깨뜨림
초음파로 분쇄 과정 실시간 확인
석회가 잘게 부서지는 것이 보임


Step 4: 흡입
분쇄된 석회를 강력하게 흡입합니다.
분쇄 조각들이 빨려 나옴
흡입된 석회를 눈으로 확인 가능
큰 조각부터 작은 가루까지 제거

Step 5: 세척
인대 사이사이에 남은 미세 석회를 세척합니다.
생리식염수 주입
인대 조직 사이 잔여 석회 씻어냄
깨끗해질 때까지 반복
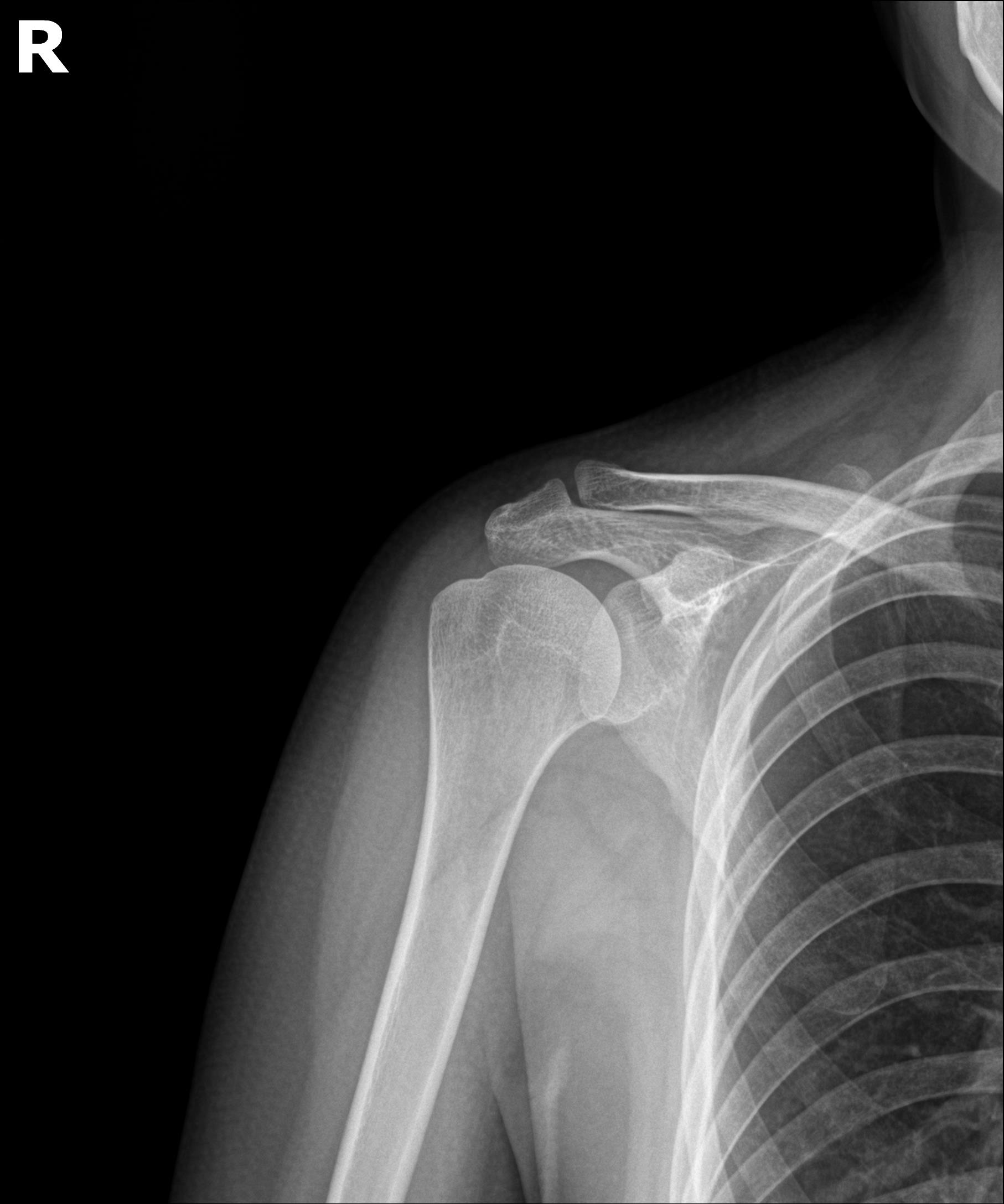
Step 6: 최종 확인 및 마무리
초음파와 X-ray로 석회 제거 확인 후 마무리합니다.
초음파: 석회 부위 확인
X-ray: 석회 완전 제거 확인
시술 부위 드레싱


전체 시술 시간은 약 30~40분입니다.
실제 케이스
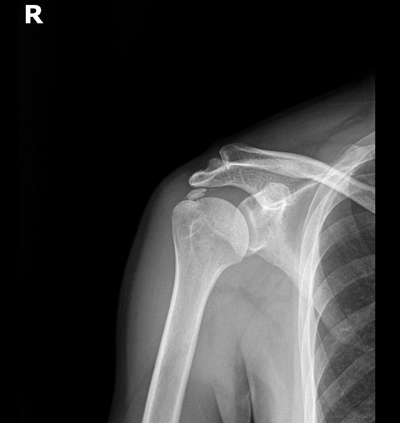
케이스 1: 형성기 단단한 석회 (1회 제거)
환자: 50대 남성, 우측 어깨 통증 8개월
시술 전:
X-ray에서 약 1.5cm 크기의 석회 확인
형성기 석회 (매우 단단)
타 병원에서 "수술 권유" 받음

시술 후:
1회 분쇄흡입술로 완전 제거
시술 직후 X-ray에서 석회 없음 확인

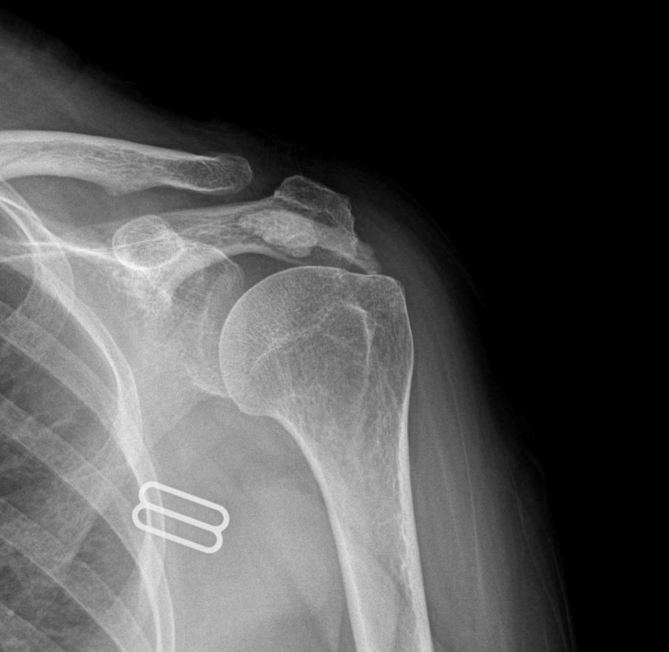
케이스 2: 휴지기 중형 석회 (1회 제거)
환자: 40대 여성, 좌측 어깨 야간통 1년
시술 전:
약 1.2cm 석회, 휴지기
충격파 10회 + 주사흡입술 2회 받았으나 호전 없음

시술 후:
1회 분쇄흡입술로 제거
야간통 소실, 수면 가능해짐

케이스 3: 흡수기 대형 석회 (1회 제거)
환자: 30대 여성, 임신 5개월, 양측 어깨 통증
특이사항:
임신 중이라 X-ray, 전신마취 불가
참을 수 없는 통증으로 시술 결정
시술:
국소마취 하 분쇄흡입술
1.6cm 흡수기 석회 1회 제거


타 병원 실패 후 내원 케이스
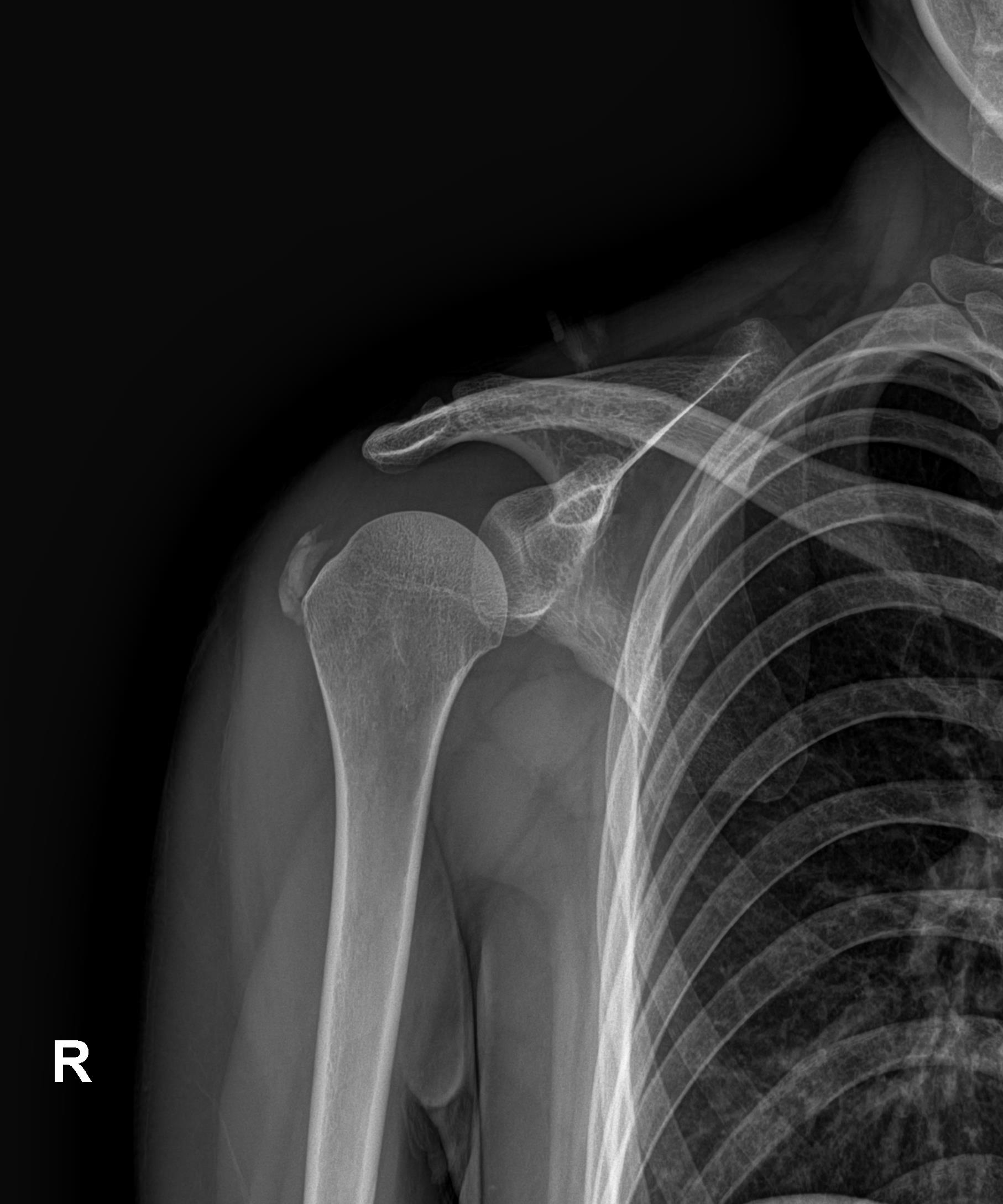
처음 말씀드린 40대 여성 환자분의 이야기입니다.
타 병원 시술 실패 원인 분석
환자분이 가져오신 이전 병원의 영상 자료를 검토했습니다.
문제점:
1세대 방법 사용: 주사바늘로 찌르고 씻어내는 방식
단단한 석회: 형성기~휴지기 석회였음
인대 손상: 반복 시술로 인대 주변 염증 발생
석회 잔존: 3회 시술 후에도 석회 대부분 남아있음
플래티넘에서의 치료
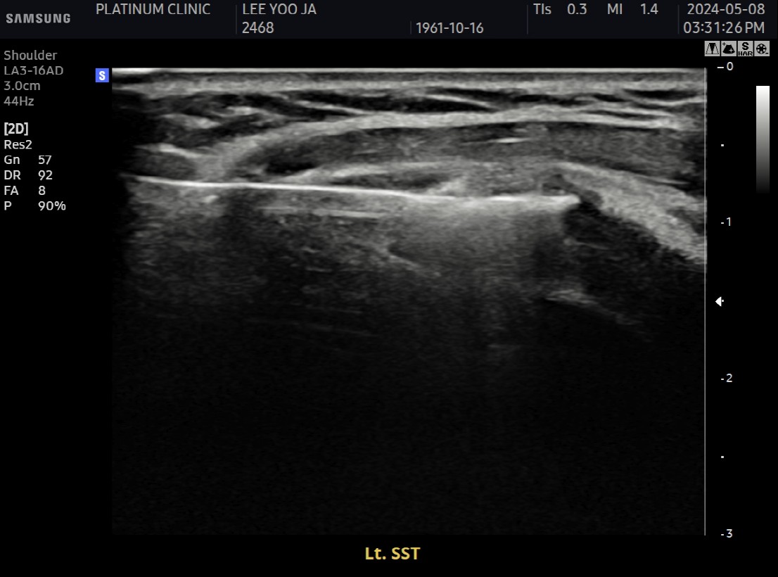
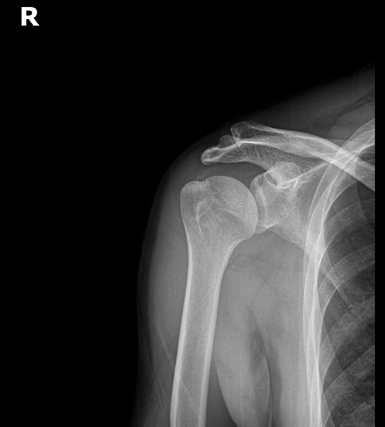
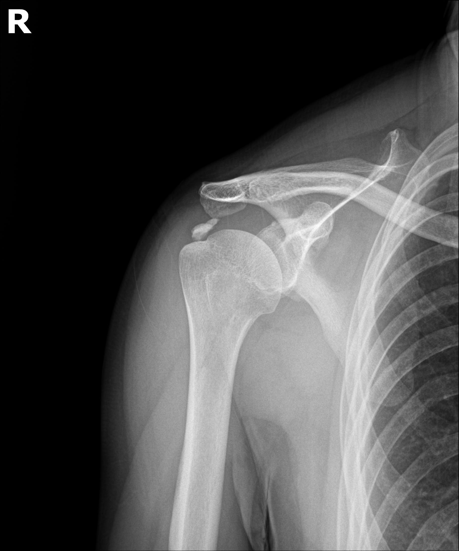
진단:
X-ray: 약 1.3cm 석회 (휴지기)
초음파: 석회 주변 인대 염증 소견
시술:
상완신경총 차단 마취
석회분쇄흡입술 시행
시술 시간: 35분
결과:
시술 직후 X-ray에서 석회 완전 제거 확인
기존 인대 염증은 재생주사로 추가 치료


환자분은 말씀하셨습니다.
3번이나 받아도 안 됐는데, 여기서 1번에 다 빠졌네요. 왜 처음부터 여기 안 왔을까... 그동안 아픈 거 참은 게 너무 억울해요.
시술 후 관리
석회분쇄흡입술 후에는 다음과 같이 관리합니다.
시술 당일~3일
시술 부위 냉찜질 (하루 3~4회, 15분씩)
팔 사용 최소화
처방된 약 복용 (진통소염제)
1주 후
경과 확인 진료
초음파로 시술 부위 확인
가벼운 일상생활 시작
2~4주 후
재활 운동 시작
어깨 가동범위 회복 운동
점진적 활동 증가
4주 이후
대부분 일상생활 복귀
스포츠 활동은 6~8주 후부터 점진적 복귀
FAQ: 석회분쇄흡입술에 대해 자주 묻는 질문
Q1. 시술이 아픈가요?
상완신경총 차단 마취를 하므로 시술 중 통증은 없습니다. 마취 주사를 놓을 때 약간의 불편감이 있을 수 있으나, 이후 시술 과정은 전혀 아프지 않습니다. 시술 후 마취가 풀리면 2~3일 정도 뻐근한 느낌이 있을 수 있습니다.
Q2. 입원해야 하나요?
아닙니다. 당일 시술, 당일 귀가입니다. 전신마취가 아니므로 입원이 필요 없습니다. 시술 후 1~2시간 정도 회복실에서 쉬신 후 귀가하시면 됩니다.
Q3. 한 번에 다 빠지나요?
대부분의 경우 1회 시술로 완전 제거됩니다. 간혹 석회가 매우 크거나 여러 곳에 있는 경우 2회 시술이 필요할 수 있으나, 드문 경우입니다.
Q4. 석회가 다시 생기나요?
제거된 석회가 같은 자리에 다시 생기는 경우는 드뭅니다 (약 5~10%). 다만, 석회가 생기기 쉬운 체질이 있어 다른 부위에 새로 생길 수는 있습니다. 이를 예방하기 위해 재활 운동과 생활 습관 교정을 권장합니다.
Q5. 충격파 치료와 뭐가 다른가요?
충격파는 석회를 에너지로 부수는 방법이고, 분쇄흡입술은 석회를 물리적으로 분쇄하여 제거하는 방법입니다. 충격파는 석회를 부숴도 몸 안에 남아 흡수되어야 하지만, 분쇄흡입술은 몸 밖으로 꺼내버립니다. 그래서 효과가 즉각적이고 확실합니다.
Q6. 수술과 비교하면 어떤가요?
관절경 수술도 석회를 제거할 수 있지만:
전신마취 필요
입원 필요 (1~2일)
회복 기간 김 (4~6주)
흉터 남음 (작은 구멍 3~4개)
분쇄흡입술은:
부위마취로 가능
당일 귀가
회복 기간 짧음 (1~2주)
흉터 거의 없음 (2~3mm)
효과는 비슷하거나 분쇄흡입술이 더 좋은 경우도 많습니다.
Q7. 인대가 손상되지 않나요?
플래티넘의 분쇄흡입술은 특수 가이드를 사용하여 인대 손상을 최소화합니다. 일반 주사흡입술처럼 인대를 여러 번 찌르지 않고, 가이드를 통해 한 번에 정확히 접근하므로 인대 손상이 거의 없습니다.
Q8. 비용은 얼마인가요?
시술 비용은 석회 크기, 개수, 위치에 따라 다릅니다. 정확한 비용은 진료 후 안내드립니다. 다만, 수술 비용 + 입원비 + 긴 회복 기간을 고려하면 총 비용은 오히려 저렴할 수 있습니다.
Q9. 나이가 많아도 시술 가능한가요?
네, 가능합니다. 전신마취가 아니므로 70~80대 고령 환자도 안전하게 시술받으실 수 있습니다. 오히려 고령 환자에게 전신마취 수술보다 훨씬 안전한 선택입니다.
Q10. 다른 병원에서 실패했는데, 플래티넘에서도 될까요?
대부분 가능합니다. 다른 병원에서 실패한 경우는 주로 1~2세대 방법의 한계 때문입니다. 플래티넘의 3세대 분쇄흡입술은 단단한 석회도 제거할 수 있으므로, 이전에 실패했던 석회도 제거 가능합니다.
이 장의 핵심
석회 제거 방법의 발전:
- 1세대: 세척술 (씻어내기) - 부드러운 석회만
- 2세대: 주사흡입술 (빨아내기) - 중간 석회까지
- 3세대: 분쇄흡입술 (갈아서 빨아내기) - 모든 석회
플래티넘 석회분쇄흡입술의 특징:
- 특허 출원 특수 가이드
- 전용 분쇄 기구
- 형성기/휴지기/흡수기 모든 단계 가능
- 1회 시술로 완전 제거
- 인대 손상 최소화
석회가 단단해서 못 뺀다"는 말은
방법의 한계일 뿐, 석회의 한계가 아닙니다.
임상 근거
석회성건염의 새로운 발병기전 개념: 석회화는 단순한 퇴행이 아닌 세포 매개 과정(cell-mediated process)으로, 형성기·흡수기·재생기의 단계를 거칩니다. 흡수기(resorptive phase)에서 극심한 통증이 발생하며, 이 시기에 적극적 치료가 필요합니다.
Uhthoff HK, et al. Calcifying tendinitis: a new concept of its pathogenesis. Clin Orthop Relat Res. 1997;(340):86-91
임상 근거
초음파 유도 needling(바보타지 — 분쇄+세척)은 석회성건염에서 통증 완화 및 기능 향상과 유의하게 연관됩니다. 단순 충격파가 효과 없을 때 초음파 유도 분쇄흡입술이 효과적인 근거입니다.
de Witte PB, et al. Ultrasound-guided needling is associated with improved pain relief and function in calcific tendinitis. Br J Sports Med. 2014;48(12):952-954
임상 근거
체계적 문헌고찰·메타분석: 만성 석회성 건병증에 대한 최소 침습 치료(초음파 유도 needling, 체외충격파)의 근거를 종합하여, 비수술적 석회 제거의 임상적 유효성을 확인했습니다.
Louwerens JK, et al. Evidence for minimally invasive therapies in chronic calcific tendinopathy of the rotator cuff: a systematic review and meta-analysis. J Shoulder Elbow Surg. 2014;23(8):1240-1249. PMID 24774621 ↗이동규 원장에게 직접 진료 상담 받기
네이버 예약하기이동규 원장
연세대 석사 · 정형외과 전문의 · IBSE 인증 · 특허 4건
수술 전문의 출신 비수술 전문의. 어깨 수술의 한계를 직접 경험하고, 비수술 치료의 가능성을 넓히기 위해 플래티넘의원을 설립했습니다.