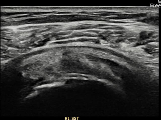
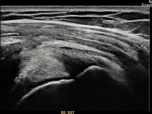
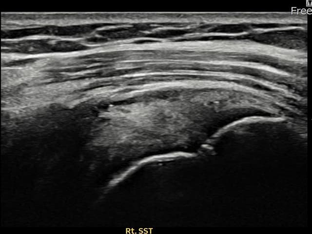
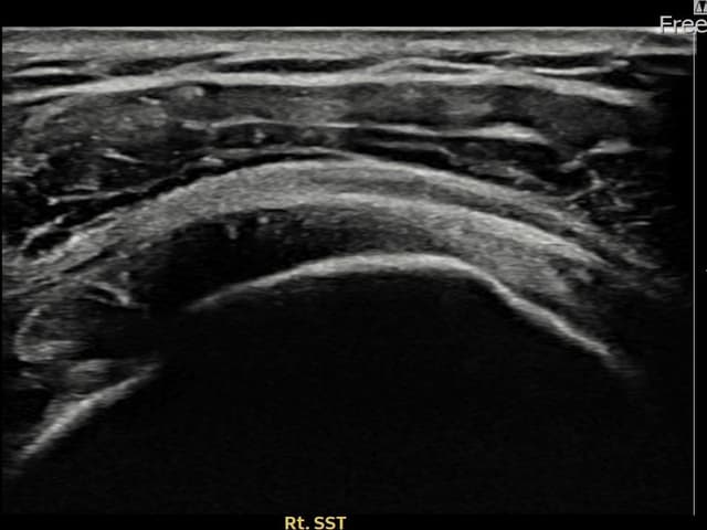
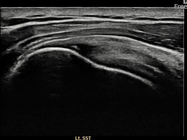
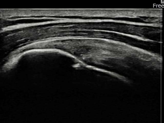
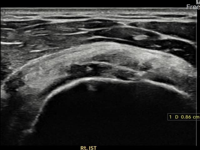
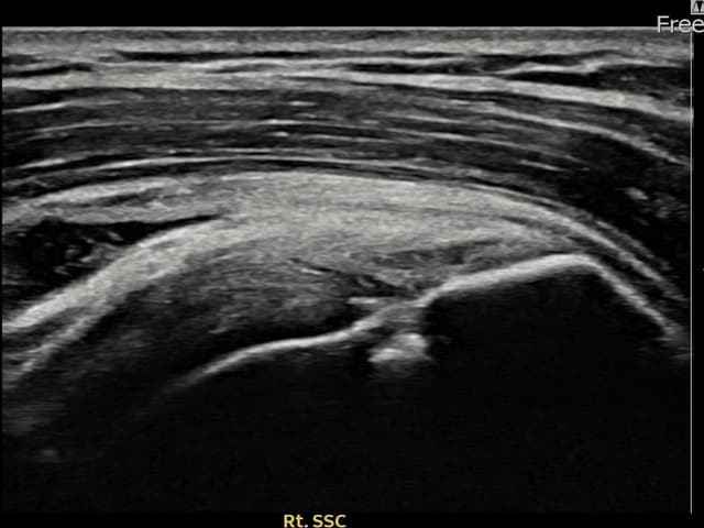
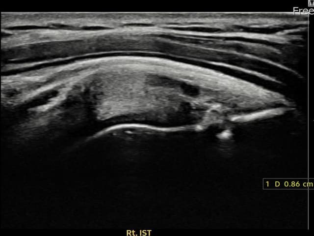
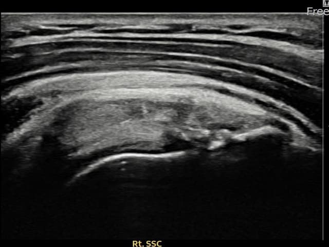
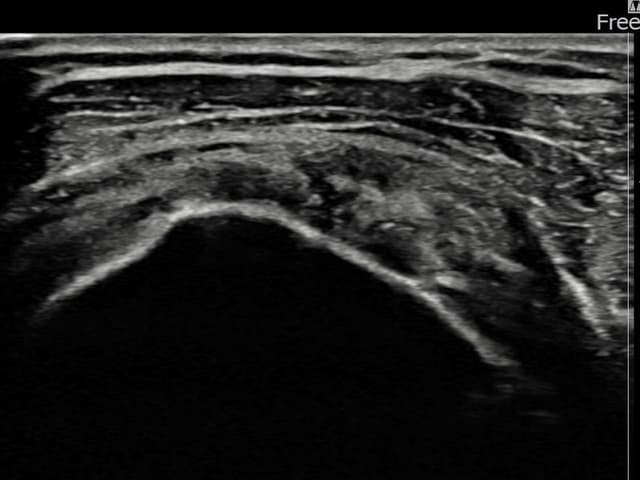
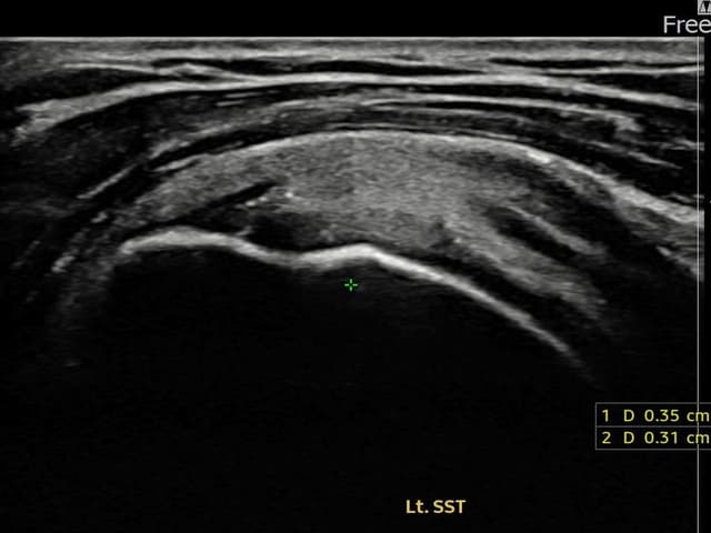
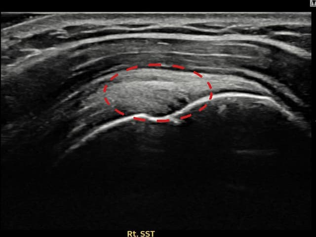
治療実績 — 超音波エビデンス
実際の患者様の施術前後の超音波画像。
手術なしで実現できる回復をご確認ください。
すべての超音波画像は患者様の同意を得て掲載しています。個人差があり、同一の結果を保証するものではありません。
合計 48 件


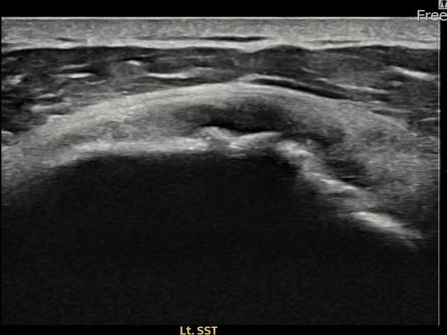
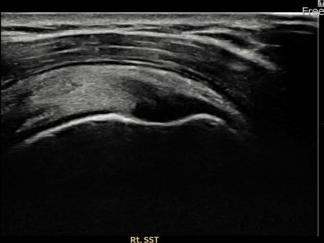
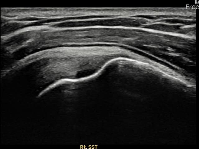
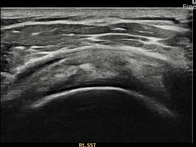
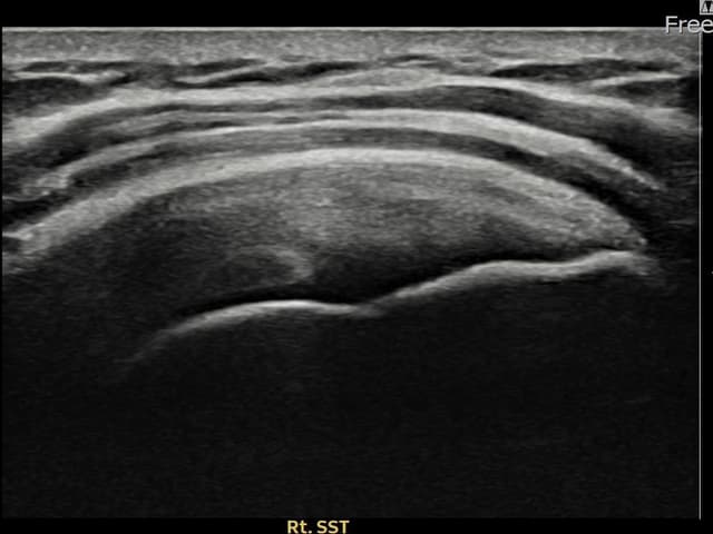
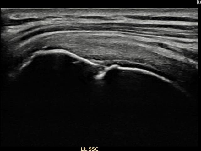
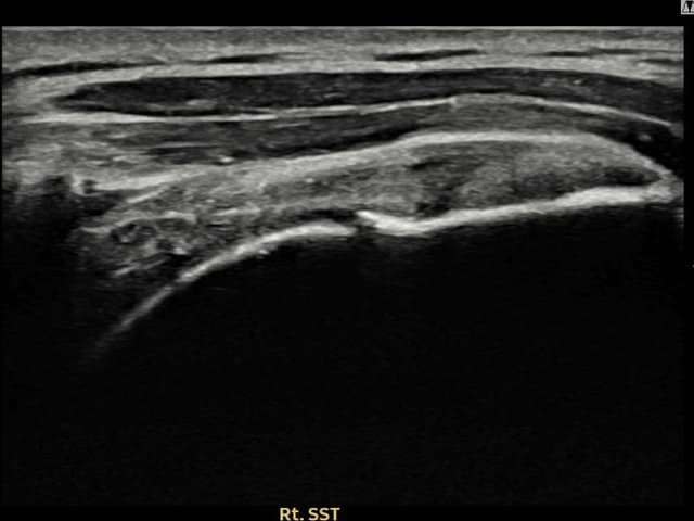
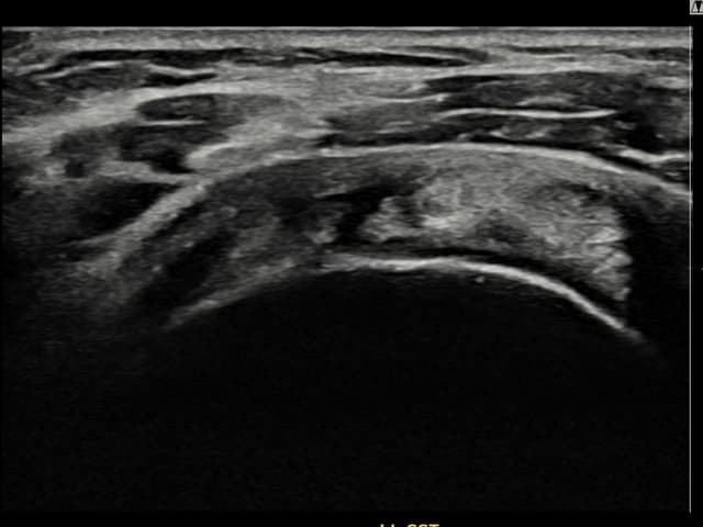
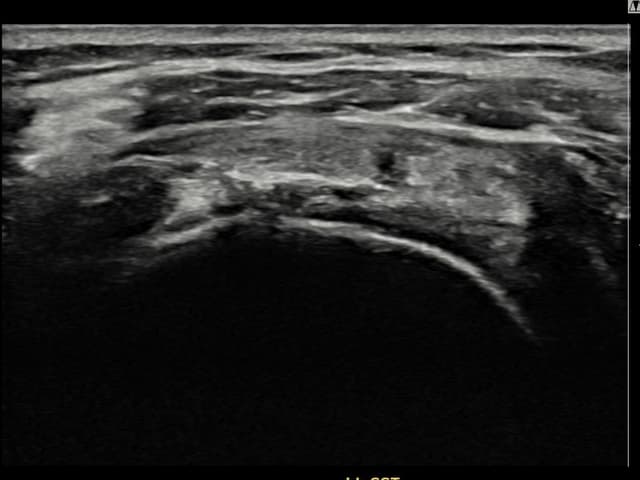
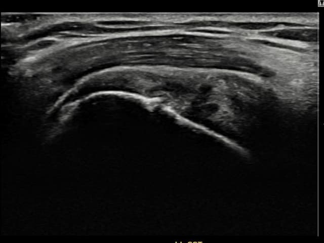
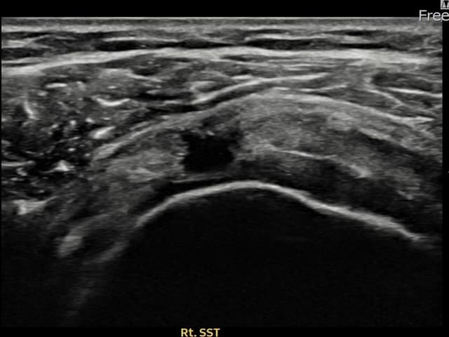
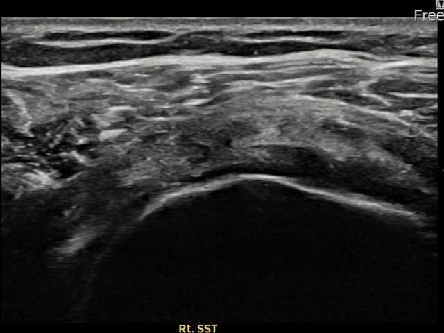
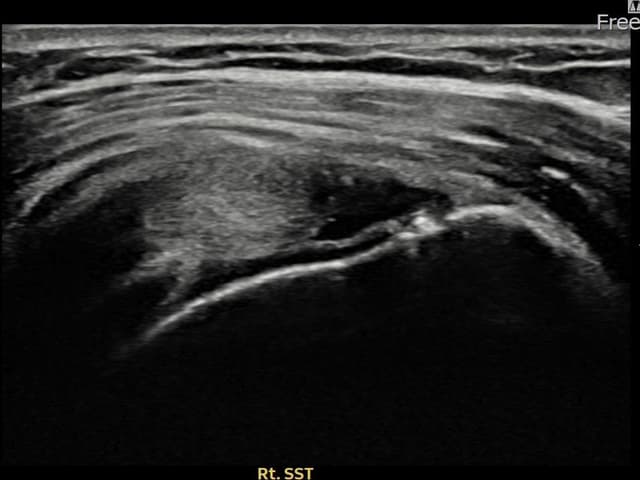
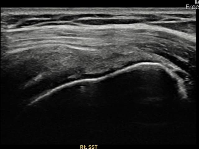
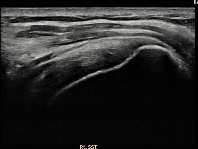
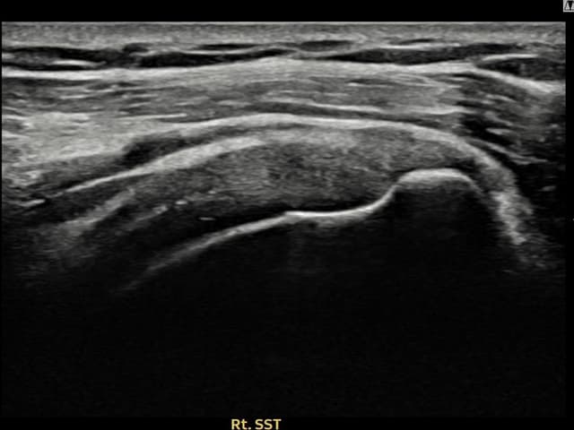
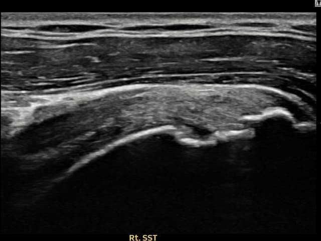
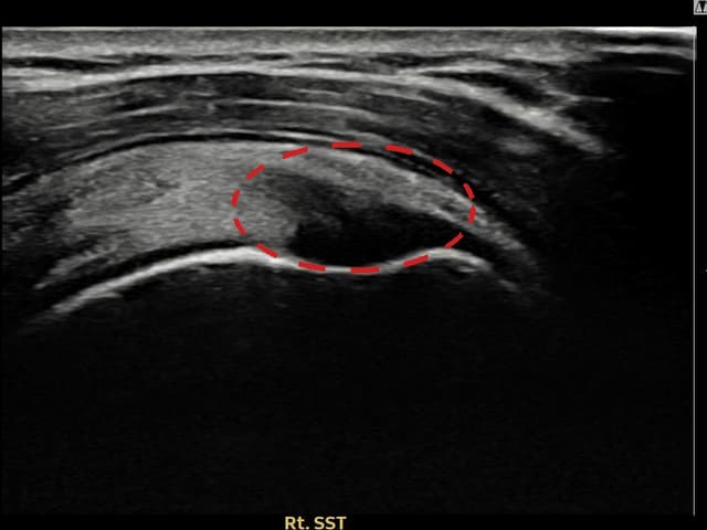
[経過期間: 22.08.10]
[石灰破砕吸引術] X線で右肩棘上筋腱内の石灰沈着(14mm × 10mm)を確認し、超音波ガイド下石灰破砕吸引術を施行しました。6本分の石灰を吸引し、術後4日後の追跡X線で石灰陰影の著明な減少を確認しました。


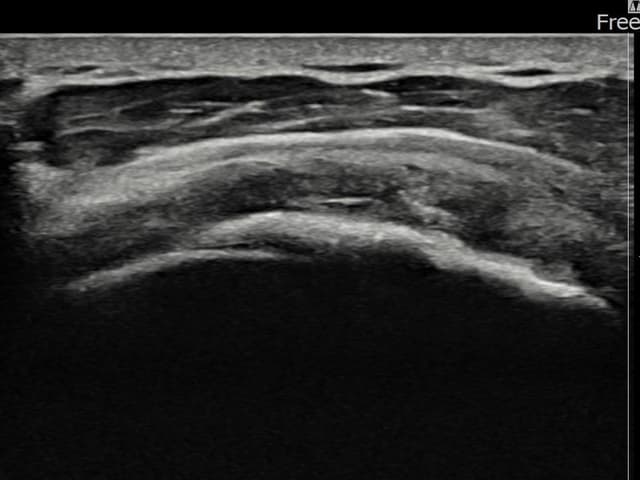
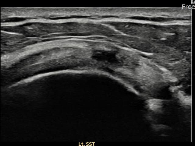
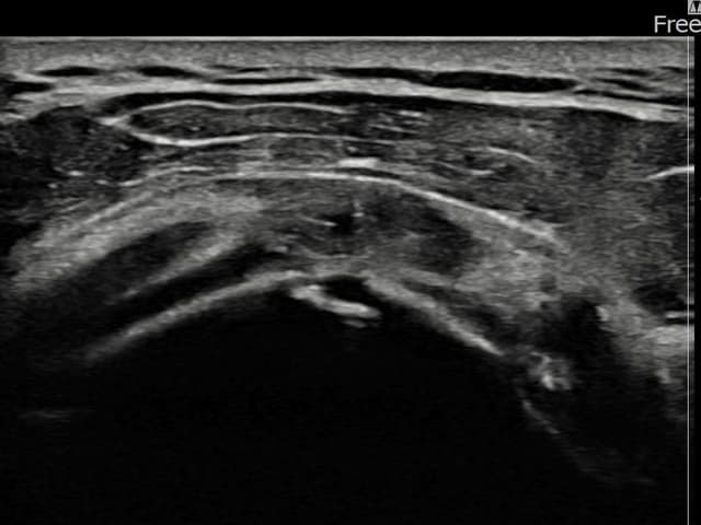
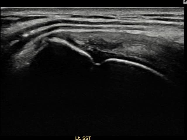
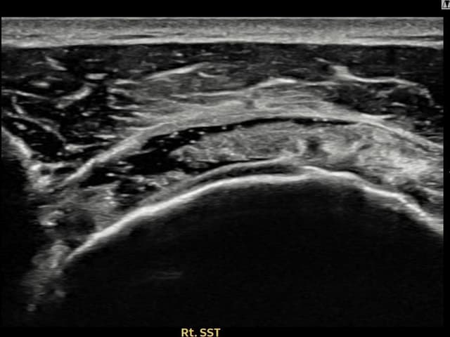
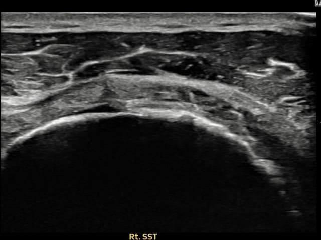
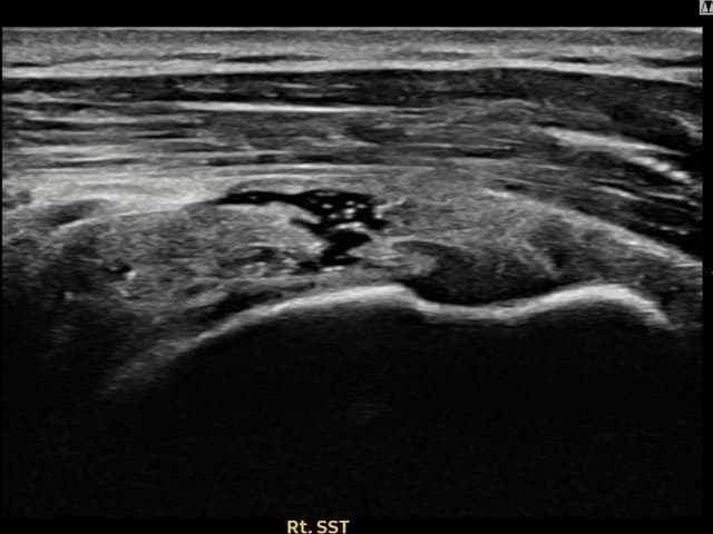
[経過期間: 22.09.06]
[石灰破砕吸引術] X線で左肩棘上筋腱内の石灰沈着(9mm × 7mm)を確認し、超音波ガイド下石灰破砕吸引術を施行しました。石灰を吸引し、経過観察時の追跡X線で石灰陰影の著明な減少を確認しました。


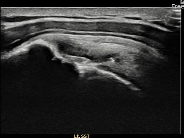
[経過期間: 22.09.28]
[石灰破砕吸引術] X線で右肩棘上筋腱内の石灰沈着(13mm × 9mm)を確認し、超音波ガイド下石灰破砕吸引術を施行しました。5本分の石灰を吸引し、翌日の追跡X線で石灰陰影の著明な減少を確認しました。


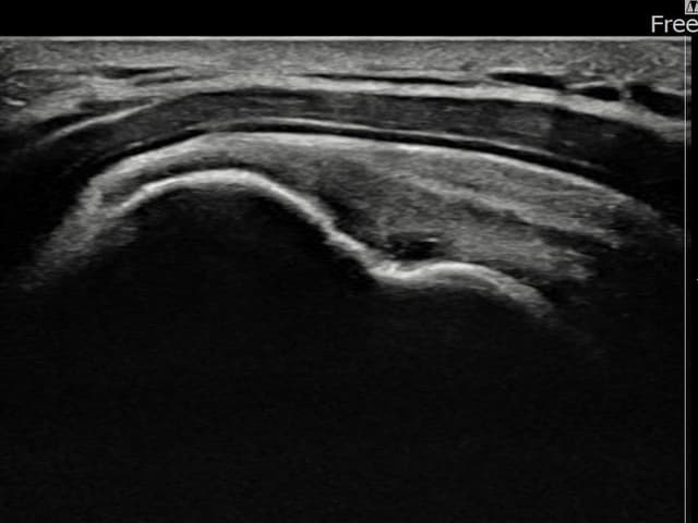
[経過期間: 22.10.18]
[石灰破砕吸引術] X線で右肩棘上筋腱内の石灰沈着(10mm × 7mm)を確認し、超音波ガイド下石灰破砕吸引術を施行しました。石灰を吸引し、術後9日後の追跡X線で石灰陰影の著明な減少を確認しました。


[経過期間: 22.11.07]
[石灰破砕吸引術] X線で左肩棘上筋腱内の石灰沈着(16mm × 11mm)を確認し、超音波ガイド下石灰破砕吸引術を施行しました。7本分の石灰を吸引し、術後10日後の追跡X線で石灰陰影の著明な減少を確認しました。


[経過期間: 22.11.25]
[石灰破砕吸引術] X線で左肩棘上筋腱内の石灰沈着(11mm × 8mm)を確認し、超音波ガイド下石灰破砕吸引術を施行しました。4本分の石灰を吸引し、術後11日後の追跡X線で石灰陰影の著明な減少を確認しました。


[経過期間: 22.12.19]
[石灰破砕吸引術] X線で右肩棘上筋腱内の石灰沈着(10mm × 7mm)を確認し、超音波ガイド下石灰破砕吸引術を施行しました。3本分の石灰を吸引し、経過観察時の追跡X線で石灰陰影の著明な減少を確認しました。


[経過期間: 23.01.10]
[石灰破砕吸引術] X線で右肩棘上筋腱内の石灰沈着(13mm × 9mm)を確認し、超音波ガイド下石灰破砕吸引術を施行しました。6本分の石灰を吸引し、術後約3ヶ月後の追跡X線で石灰陰影の著明な減少を確認しました。


[経過期間: 23.01.31]
[石灰破砕吸引術] X線で左肩棘上筋腱内の石灰沈着(18mm × 13mm)を確認し、超音波ガイド下石灰破砕吸引術を施行しました。7本分の石灰を吸引し、当日の追跡X線で石灰陰影の著明な減少を確認しました。


[経過期間: 23.02.21]
[石灰破砕吸引術] X線で右肩棘上筋腱内の石灰沈着(15mm × 10mm)を確認し、超音波ガイド下石灰破砕吸引術を施行しました。7本分の石灰を吸引し、術後10日後の追跡X線で石灰陰影の著明な減少を確認しました。


[経過期間: 23.03.14]
[石灰破砕吸引術] X線で右肩棘上筋腱内の石灰沈着(17mm × 12mm)を確認し、超音波ガイド下石灰破砕吸引術を施行しました。8本分の石灰を吸引し、翌日の追跡X線で石灰陰影の著明な減少を確認しました。


[経過期間: 23.04.04]
[石灰破砕吸引術] X線で右肩棘上筋腱内の石灰沈着(13mm × 9mm)を確認し、超音波ガイド下石灰破砕吸引術を施行しました。4本分の石灰を吸引し、術後5週間後の追跡X線で石灰陰影の著明な減少を確認しました。


[経過期間: 23.04.25]
[石灰破砕吸引術] X線で左肩棘上筋腱内の石灰沈着(15mm × 11mm)を確認し、超音波ガイド下石灰破砕吸引術を施行しました。7本分の石灰を吸引し、経過観察時の追跡X線で石灰陰影の著明な減少を確認しました。


[経過期間: 23.05.17]
[石灰破砕吸引術] X線で右肩棘上筋腱内の石灰沈着(14mm × 10mm)を確認し、超音波ガイド下石灰破砕吸引術を施行しました。石灰を吸引し、当日の追跡X線で石灰陰影の著明な減少を確認しました。


[経過期間: 23.06.08]
[石灰破砕吸引術] X線で右肩棘上筋腱内の石灰沈着(11mm × 8mm)を確認し、超音波ガイド下石灰破砕吸引術を施行しました。6本分の石灰を吸引し、経過観察時の追跡X線で石灰陰影の著明な減少を確認しました。


[経過期間: 23.06.29]
[石灰破砕吸引術] X線で右肩棘上筋腱内の石灰沈着(13mm × 9mm)を確認し、超音波ガイド下石灰破砕吸引術を施行しました。石灰を吸引し、翌日の追跡X線で石灰陰影の著明な減少を確認しました。


[経過期間: 23.07.20]
[石灰破砕吸引術] X線で右肩棘上筋腱内の石灰沈着(약 12mm × 9mm)を確認し、超音波ガイド下石灰破砕吸引術を施行しました。石灰を吸引し、経過観察時の追跡X線で石灰陰影の著明な減少を確認しました。


[経過期間: 23.08.24]
[石灰破砕吸引術] X線で右肩棘上筋腱内の石灰沈着(약 15mm × 10mm)を確認し、超音波ガイド下石灰破砕吸引術を施行しました。石灰を吸引し、経過観察時の追跡X線で石灰陰影の著明な減少を確認しました。


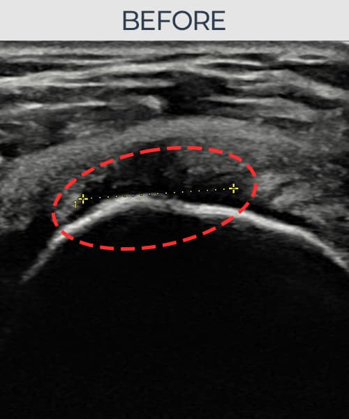
[経過期間: 23.07.18~23.09.14]
[縫縮術] 超音波検査にて左 棘上筋腱 광범위 部分断裂(15mm × 6mm (腱厚の約70%欠損))を確認。縫縮術施行後、腱の連続性が回復し、日常生活に復帰されました。


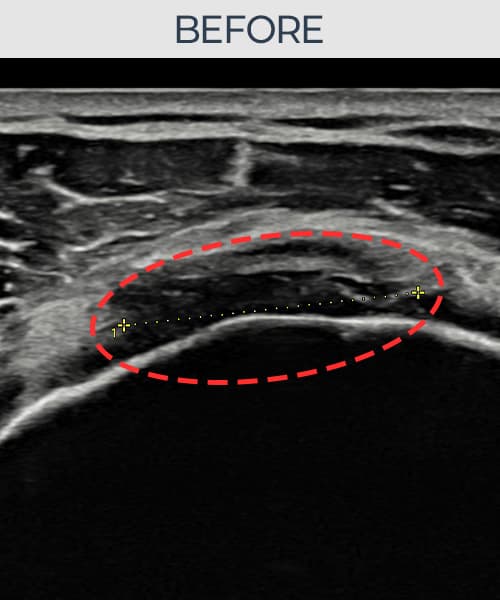
[経過期間: 23.07.31~23.09.27]
[縫縮術] 超音波検査にて左 棘上筋腱 부착부 광범위 部分断裂(13mm × 5mm (腱厚の約65%欠損))を確認。縫縮術施行後、腱の連続性が回復し、日常生活に復帰されました。


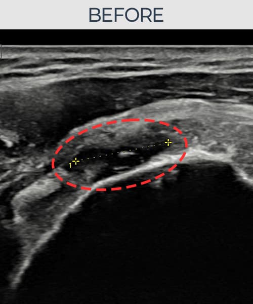
[経過期間: 23.08.16~23.10.18]
[縫縮術] 超音波検査にて右 棘上筋腱 関節面側部分断裂(7mm × 3mm (腱厚の約30%欠損))を確認。縫縮術施行後、腱の連続性が回復し、日常生活に復帰されました。


[経過期間: 23.09.01~23.11.03]
[縫縮術] 超音波検査にて右 棘上筋腱 滑液包面側部分断裂(8mm × 4mm (腱厚の約35%欠損))を確認。縫縮術施行後、腱の連続性が回復し、日常生活に復帰されました。


[経過期間: 23.09.19~23.11.21]
[縫縮術] 超音波検査にて右 棘上筋腱 関節面側部分断裂(9mm × 4mm (腱厚の約38%欠損))を確認。縫縮術施行後、腱の連続性が回復し、日常生活に復帰されました。


[経過期間: 23.10.05~23.12.07]
[縫縮術] 超音波検査にて右 棘上筋腱 付着部部分断裂(10mm × 4mm (腱厚の約42%欠損))を確認。縫縮術施行後、腱の連続性が回復し、日常生活に復帰されました。


[経過期間: 23.10.23~24.01.04]
[縫縮術] 超音波検査にて左 棘上筋腱 関節面側部分断裂(8mm × 3mm (腱厚の約33%欠損))を確認。縫縮術施行後、腱の連続性が回復し、日常生活に復帰されました。


[経過期間: 23.11.09~24.01.18]
[縫縮術] 超音波検査にて左 棘上筋腱 付着部部分断裂(9mm × 4mm (腱厚の約38%欠損))を確認。縫縮術施行後、腱の連続性が回復し、日常生活に復帰されました。


[経過期間: 23.11.28~24.02.06]
[縫縮術] 超音波検査にて右 棘下筋腱 関節面側部分断裂(7mm × 3mm (腱厚の約32%欠損))を確認。縫縮術施行後、腱の連続性が回復し、日常生活に復帰されました。


[経過期間: 23.12.14~24.02.22]
[縫縮術] 超音波検査にて右 棘下筋腱 付着部部分断裂(8.6mm × 4mm (腱厚の約45%欠損))を確認。縫縮術施行後、腱の連続性が回復し、日常生活に復帰されました。


[経過期間: 24.01.08~24.03.14]
[縫縮術] 超音波検査にて左 棘上筋腱 関節面側部分断裂(3.5mm × 3.1mm (부분파열))を確認。縫縮術施行後、腱の連続性が回復し、日常生活に復帰されました。


[経過期間: 24.01.25~24.04.03]
[縫縮術] 超音波検査にて左 棘上筋腱 付着部部分断裂(5mm × 3mm (腱厚の約25%欠損))を確認。縫縮術施行後、腱の連続性が回復し、日常生活に復帰されました。


[経過期間: 24.02.14~24.04.22]
[縫縮術] 超音波検査にて左 棘上筋腱 部分断裂(7mm × 3mm (腱厚の約30%欠損))を確認。縫縮術施行後、腱の連続性が回復し、日常生活に復帰されました。


[経過期間: 24.03.04~24.05.10]
[縫縮術] 超音波検査にて右 견갑하근건 関節面側部分断裂(7mm × 3mm (腱厚の約28%欠損))を確認。縫縮術施行後、腱の連続性が回復し、日常生活に復帰されました。


[経過期間: 24.03.21~24.05.29]
[縫縮術] 超音波検査にて右 견갑하근건 部分断裂(8mm × 3mm (腱厚の約32%欠損))を確認。縫縮術施行後、腱の連続性が回復し、日常生活に復帰されました。


[経過期間: 24.04.09~24.06.17]
[縫縮術] 超音波検査にて左 棘上筋腱 付着部部分断裂(11mm × 4mm (腱厚の約44%欠損))を確認。縫縮術施行後、腱の連続性が回復し、日常生活に復帰されました。


[経過期間: 24.04.26~24.07.05]
[縫縮術] 超音波検査にて右 棘上筋腱 관절면측 광범위 部分断裂(16mm × 5mm (腱厚の約75%欠損))を確認。縫縮術施行後、腱の連続性が回復し、日常生活に復帰されました。


[経過期間: 24.05.15~24.07.23]
[縫縮術] 超音波検査にて右 棘上筋腱 部分断裂 + 건내 석회화(9mm × 4mm (腱厚の約38%欠損))を確認。縫縮術施行後、腱の連続性が回復し、日常生活に復帰されました。


[経過期間: 24.06.04~24.08.12]
[縫縮術] 超音波検査にて左 棘上筋腱 滑液包面側部分断裂(14mm × 7mm (腱厚の約65%欠損))を確認。縫縮術施行後、腱の連続性が回復し、日常生活に復帰されました。


[経過期間: 24.06.21~24.08.30]
[縫縮術] 超音波検査にて左 棘上筋腱 関節面側部分断裂(8mm × 3mm (腱厚の約30%欠損))を確認。縫縮術施行後、腱の連続性が回復し、日常生活に復帰されました。


[経過期間: 24.07.10~24.09.18]
[縫縮術] 超音波検査にて右 棘上筋腱 関節面側断裂進行型(12mm × 7mm (腱厚の約55%欠損))を確認。縫縮術施行後、腱の連続性が回復し、日常生活に復帰されました。


[経過期間: 24.07.29~24.10.07]
[縫縮術] 超音波検査にて右 棘上筋腱 関節面側部分断裂(12mm × 4mm (腱厚の約48%欠損))を確認。縫縮術施行後、腱の連続性が回復し、日常生活に復帰されました。


[経過期間: 24.08.19~24.10.28]
[縫縮術] 超音波検査にて右 棘上筋腱 関節面側部分断裂(10mm × 4mm (腱厚の約40%欠損))を確認。縫縮術施行後、腱の連続性が回復し、日常生活に復帰されました。


[経過期間: 24.09.05~24.11.14]
[縫縮術] 超音波検査にて右 棘上筋腱 滑液包面側部分断裂(13mm × 6mm (腱厚の約62%欠損))を確認。縫縮術施行後、腱の連続性が回復し、日常生活に復帰されました。


[経過期間: 24.09.23~24.12.03]
[縫縮術] 超音波検査にて右 棘上筋腱 関節面側部分断裂(7mm × 4mm (腱厚の約42%欠損))を確認。縫縮術施行後、腱の連続性が回復し、日常生活に復帰されました。


[経過期間: 24.10.14~24.12.23]
[縫縮術] 超音波検査にて腱板 部分断裂+靭帯損傷(11mm × 6mm (腱厚の約58%欠損))を確認。縫縮術施行後、腱の連続性が回復し、日常生活に復帰されました。


[経過期間: 24.11.04~25.01.14]
[縫縮術] 超音波検査にて腱板 関節面側断裂(9mm × 5mm (腱厚の約50%欠損))を確認。縫縮術施行後、腱の連続性が回復し、日常生活に復帰されました。


[経過期間: 25.03.10~25.06.04]
[縫縮術] 超音波検査にて腱板 部分断裂(6mm × 3mm (腱厚の約35%欠損))を確認。縫縮術施行後、腱の連続性が回復し、日常生活に復帰されました。


[経過期間: 25.07.02~25.09.24]
[縫縮術] 超音波検査にて腱板 関節面側部分断裂(8mm × 5mm (腱厚の約45%欠損))を確認。縫縮術施行後、腱の連続性が回復し、日常生活に復帰されました。


[経過期間: 25.10.14~26.01.08]
[縫縮術] 超音波検査にて腱板 関節面側部分断裂(14mm × 7mm (腱厚の約68%欠損))を確認。縫縮術施行後、腱の連続性が回復し、日常生活に復帰されました。
さらに多くの症例は院長のブログ・YouTubeチャンネルでご覧いただけます。