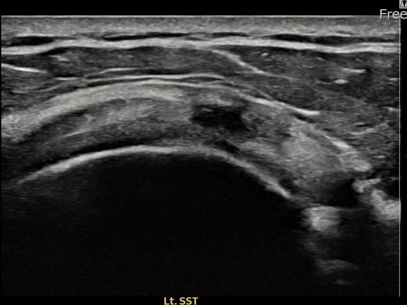
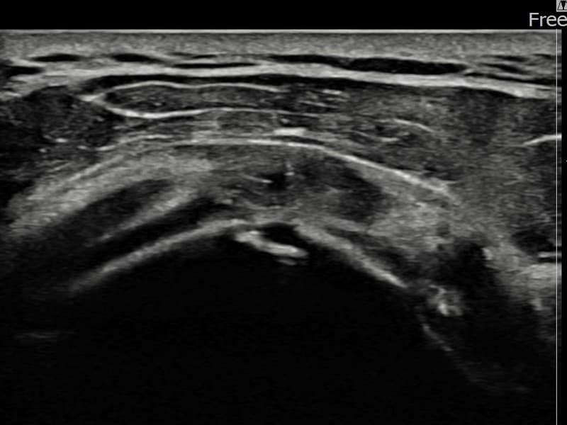
超音波検査にて左 棘上筋腱 関節面側部分断裂(8mm × 3mm (腱厚の約33%欠損))を確認。縫縮術施行後、腱の連続性が回復し、日常生活に復帰されました。
[経過期間: 23.10.23~24.01.04]
施術前

施術後

治療結果
術前超音波にて左 棘上筋腱 関節面側部分断裂・左肩棘上筋腱のエコー不連続と腱欠損(8mm × 3mm (腱厚の約33%欠損))を確認。術後超音波では断裂部位が再生組織で充填され、腱の連続性回復とエコーパターンの正常化が確認されました。
院長コメント
持続する左肩痛で来院された患者様です。超音波検査にて左 棘上筋腱 関節面側部分断裂(欠損:8mm × 3mm (腱厚の約33%欠損))を確認し、超音波ガイド下で非手術的縫縮術を施行しました。術後は約4〜6週間のブレース装着の後、段階的なリハビリプログラムを実施。経過超音波で腱の連続性回復を確認し、患者様は無事に日常生活へ復帰されました。
※ 患者様の事前同意を得て掲載しています。同一条件下で撮影。個人差があり副作用が生じる可能性があります — 施術前に必ず医師にご相談ください。