Calcific Tendinitis Aspiration
Remove Shoulder Calcium in One Session — No Surgery
Told your calcium is “too hard to remove”? That is a method problem, not a diagnosis. Platinum's 3rd-generation crushing aspiration removes even the hardest calcium in a single procedure.
Actual Patient Case
“I had three procedures at another clinic, but the calcium is still there. Each time they said 'it's slowly dissolving', but the X-ray shows almost no change. They told me the calcium is too hard and I need arthroscopic surgery. Is surgery really the only option?”
— Female patient in her early 40s, first visit to Platinum Clinic
Conclusion: Calcium too hard to remove? That is a method problem.
The 3rd-generation crushing aspiration physically breaks up the calcium, making it removable regardless of hardness. Effective even for patients who have failed 1st–2nd generation treatments.
Why Does Calcium Form, and When Does It Hurt Most?
Calcific tendinitis is not simply calcium accumulating. It progresses through three phases — Formative, Resting, and Resorptive — each with different pain patterns and treatment approaches.
Formative Phase
Minimal painCalcium begins depositing as tendon cells die. Still soft and paste-like. May appear faint or invisible on X-ray.
Shockwave or injection therapies may still be effective at this stage.
Resting Phase
Intermittent dull painCalcium hardens into a chalk-like mass, clearly visible as a white lump on X-ray. This phase can persist the longest.
Hardened calcium cannot be removed by 2nd-gen barbotage. The 3rd-gen crushing aspiration is required.
Resorptive Phase
Severe pain (including night pain)Calcium begins to be naturally reabsorbed. Blood vessels invade and the calcium collapses, triggering intense inflammation. Pain at this stage can be ER-level severe.
In this phase calcium becomes liquid, making aspiration possible. Prompt procedure is needed for pain relief.
3 Generations of Calcific Removal Methods
Like a blender that grinds and then suctions — no matter how hard, grinding makes it removable.
| Method | Principle | Hard Calcium | Sessions | Tendon Risk |
|---|---|---|---|---|
| 1st Gen: Lavage | Flush with saline | ✗ No | Multiple | Yes |
| 2nd Gen: Barbotage | Dissolve & aspirate | △ Difficult | 2–4 | Yes |
| 3rd Gen: Crushing Aspiration (Platinum) Platinum | Crush → aspirate + wash | ✓ Yes | 1 | Minimized |
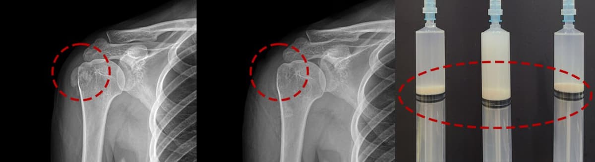
Before & After X-ray
Even hardened calcium completely removed after a single session. Real patient X-rays.

White calcium mass clearly visible in the shoulder tendon on X-ray.

Calcium completely removed after a single crushing aspiration procedure.
Same-Day Procedure · Same-Day Discharge
Pre-Procedure Diagnosis
X-ray, ultrasound, and MRI to determine the calcium location, size, and density. Confirm the calcium phase (formative/resting/resorptive).
Anesthesia
Brachial plexus block (BPB) anesthesia. No general anesthesia — patient remains conscious. Procedure begins after confirming anesthesia effect.
Crushing & Aspiration
Under ultrasound guidance, a specialized crushing instrument physically breaks up the calcium. Powerful aspiration removes fragments, followed by lavage.
Verification & Discharge
Ultrasound confirmation of calcium removal. Total procedure time: 30–60 minutes. Same-day discharge. Light daily activity possible the next day.
Calcific Aspiration Q&A
What is calcific tendinitis?+
How is this different from shockwave therapy?+
Is the procedure painful?+
Can calcium come back?+
Is hospitalization required?+
Stop Tolerating Calcific Tendinitis Pain
Complete removal in a single session · Same-day discharge