우측 어깨 통증으로 수면과 일상 동작이 어려워 내원하셨습니다.
[촬영시기: 23.09.09~23.12.15]
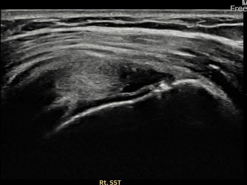
Before


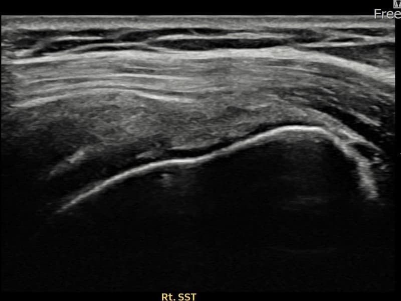
After


치료결과
시술 전 초음파 측정 결과 파열 크기는 12mm × 4mm (힘줄 두께의 약 48% 결손)로 확인되었습니다. 시술 전 초음파에서 우측 극상근건 관절면측의 에코 단절과 힘줄 두께 감소가 확인되었습니다. 시술 후 초음파에서 힘줄 연속성이 회복되고 에코 패턴이 균질하게 개선된 것이 관찰되었습니다.
담당 의료진 소견
40대 후반 여성 환자분으로, 아이 돌봄과 집안일을 도맡아 하시며 어깨를 반복적으로 사용하다 통증이 생겨 내원하셨습니다. 처음에는 무거운 물건을 들 때만 아팠으나 점차 팔을 수평으로 올리는 것 자체가 어려워진 상태였습니다. 초음파 검사에서 우측 극상근건 관절면측 부분파열이 확인되었으며, 비수술 축소봉합술로 치료 계획을 수립하였습니다. 시술 당일 귀가하셨고 보조기 착용 4주, 이후 단계적 재활을 진행하였습니다. 시술 14주 후 추적 초음파에서 힘줄 연속성이 완전히 회복된 것이 확인되어 통증 없이 일상 복귀에 성공하셨습니다.
치료 결과 열람은 회원 전용 메뉴입니다
로그인하여 상세한 치료 결과를 확인해 보세요
※ 환자분에게 사전 동의를 받아 동일 조건에서 촬영되었으며, 개인에 따라 치료 후 부작용이 발생할 수도 있으니 사전에 의료진과 상담 후 치료를 진행하시기 바랍니다.