우측 어깨 통증이 일상 동작에서 지속되어 내원하셨습니다.
[촬영시기: 23.08.18~23.10.27]
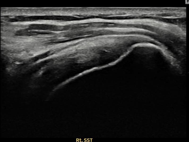
Before


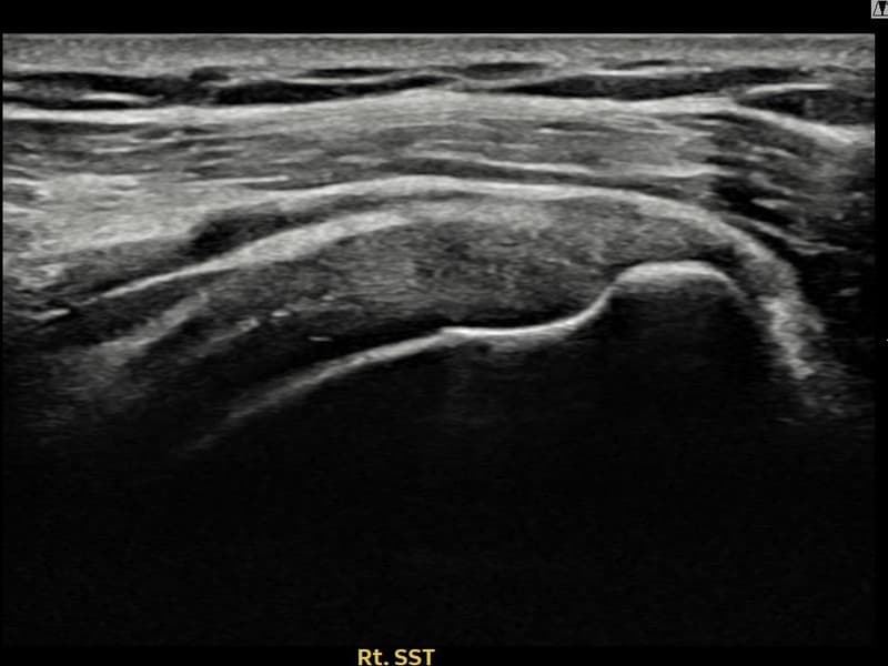
After


치료결과
시술 전 초음파 측정 결과 파열 크기는 10mm × 4mm (힘줄 두께의 약 40% 결손)로 확인되었습니다. 시술 전 초음파에서 우측 극상근건 관절면측의 에코 불균질성과 힘줄 내 결손 소견이 확인되었습니다. 시술 후 초음파에서 힘줄 에코 패턴이 균질하게 회복되고 연속성이 정상화된 것이 관찰되었습니다.
담당 의료진 소견
60대 여성 환자분으로, 수년간 무릎 통증으로 보행이 불편한 상황에서 어깨까지 아프기 시작하여 일상 전반이 힘들어진 상태였습니다. 초음파 검사에서 우측 극상근건 관절면측의 부분파열이 확인되었으며, 전신 상태와 활동 수준을 고려하여 부담이 적은 비수술 축소봉합술을 선택하였습니다. 시술은 30분 이내에 완료되었고 당일 귀가하셨으며, 보조기 착용 4주 후 천천히 가동 범위를 늘려나갔습니다. 시술 10주 후 추적 초음파에서 극상근건 연속성이 안정적으로 회복된 것이 확인되어 통증 없이 일상 복귀에 성공하셨습니다.
치료 결과 열람은 회원 전용 메뉴입니다
로그인하여 상세한 치료 결과를 확인해 보세요
※ 환자분에게 사전 동의를 받아 동일 조건에서 촬영되었으며, 개인에 따라 치료 후 부작용이 발생할 수도 있으니 사전에 의료진과 상담 후 치료를 진행하시기 바랍니다.