우측 어깨 통증으로 팔을 들어올리기 어렵고 취침 시 통증이 심해 내원하셨습니다.
[촬영시기: 23.05.12~23.07.14]
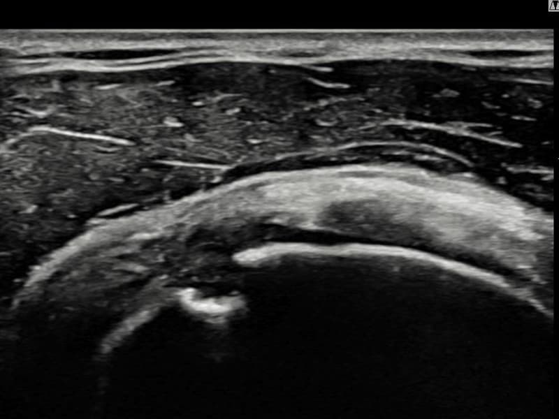
Before


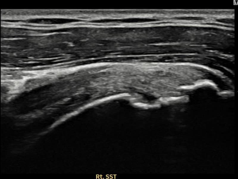
After


치료결과
시술 전 초음파 측정 결과 파열 크기는 13mm × 6mm (힘줄 두께의 약 62% 결손)로 확인되었습니다. 시술 전 초음파에서 우측 극상근건 점액낭면측의 광범위한 에코 단절과 힘줄 두께의 현저한 감소가 확인되었습니다. 시술 후 초음파에서 점액낭면측 힘줄 경계가 선명해지고 연속성이 완전히 회복된 것이 관찰되었습니다.
담당 의료진 소견
40대 후반 남성 환자분으로, 골프를 즐겨 하시다 스윙 동작 중 어깨에 통증이 생겨 운동을 중단하셨습니다. 이후 통증이 악화되어 팔을 앞으로 뻗거나 위로 올리기도 어려운 상태가 되어 내원하셨습니다. 초음파 검사에서 우측 극상근건 점액낭면측의 광범위한 부분파열이 확인되었으며, 파열 두께와 범위를 고려하여 초음파 유도 하 축소봉합술을 시행하였습니다. 시술은 당일 귀가로 이루어졌으며, 이후 보조기 착용 6주 후 단계적으로 어깨 근력 강화 운동을 진행하였습니다. 시술 9주 후 추적 초음파에서 점액낭면측 힘줄 연속성이 완전히 회복된 것이 확인되어 골프 복귀에 성공하셨습니다.
치료 결과 열람은 회원 전용 메뉴입니다
로그인하여 상세한 치료 결과를 확인해 보세요
※ 환자분에게 사전 동의를 받아 동일 조건에서 촬영되었으며, 개인에 따라 치료 후 부작용이 발생할 수도 있으니 사전에 의료진과 상담 후 치료를 진행하시기 바랍니다.