우측 어깨 통증과 팔 들어올리기 제한으로 내원하셨습니다.
[촬영시기: 22.09.05~22.12.08]




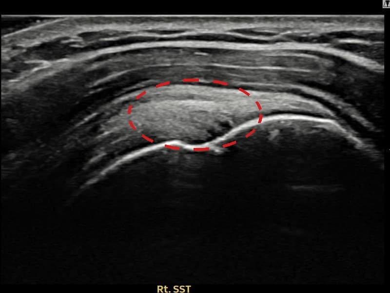
치료결과
시술 전 초음파 측정 결과 파열 크기는 7mm × 4mm (힘줄 두께의 약 42% 결손)로 확인되었습니다. 시술 전 초음파에서 우측 극상근건 관절면측의 에코 단절과 힘줄 내부 결손 소견이 명확히 관찰되었으며, 힘줄 두께가 반대측 대비 현저히 감소된 상태였습니다. 시술 후 초음파에서 극상근건의 연속성이 회복되고 내부 에코 패턴이 균질하게 개선되어 파열 부위의 구조적 재생이 확인되었습니다.
담당 의료진 소견
50대 중반 여성 환자분으로, 꽃꽂이 강사로 활동하시며 팔을 앞·위로 반복적으로 뻗는 동작을 오랫동안 해오신 분이었습니다. 처음에는 수업 중에만 통증이 있었으나 점차 머리 감기, 선반 정리 등 일상 동작에서도 불편감이 생겨 내원하셨습니다. 초음파 검사에서 우측 극상근건 관절면측의 부분파열이 확인되었으며, 파열 범위와 위치를 고려해 초음파 유도 하 축소봉합술을 시행하였습니다. 시술은 30분 이내에 완료되었고 당일 귀가하셨으며, 시술 후 4주간 팔을 어깨 위로 올리는 동작을 제한하고 단계적으로 가동 범위를 늘려 나갔습니다. 시술 13주 후 추적 초음파에서 극상근건 연속성이 완전히 회복되고 에코 패턴이 정상화된 것이 확인되었으며, 통증 없이 강의에 복귀하셨습니다.
치료 결과 열람은 회원 전용 메뉴입니다
로그인하여 상세한 치료 결과를 확인해 보세요
※ 환자분에게 사전 동의를 받아 동일 조건에서 촬영되었으며, 개인에 따라 치료 후 부작용이 발생할 수도 있으니 사전에 의료진과 상담 후 치료를 진행하시기 바랍니다.