좌측 어깨 광범위 파열로 수술을 권유받았으나 비수술 치료를 원해 내원하셨습니다.
[촬영시기: 22.10.06~22.11.14]
Before


After


치료결과
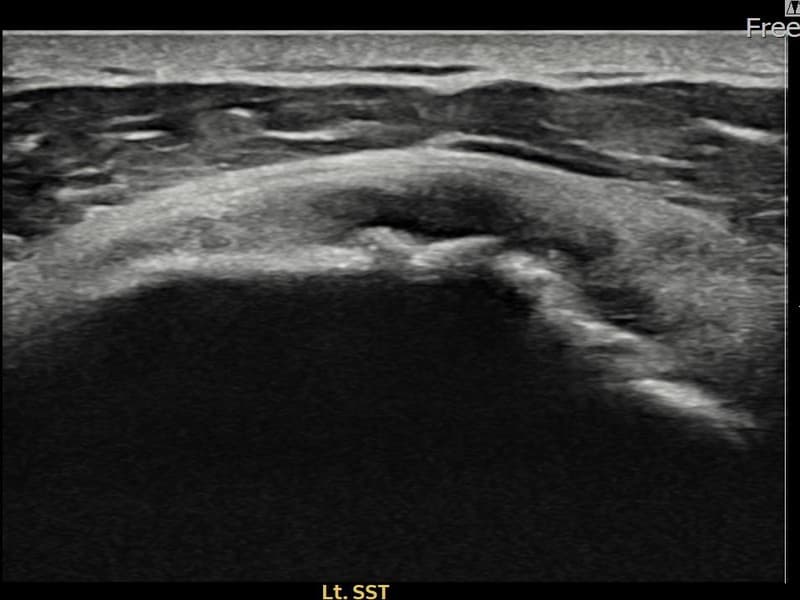
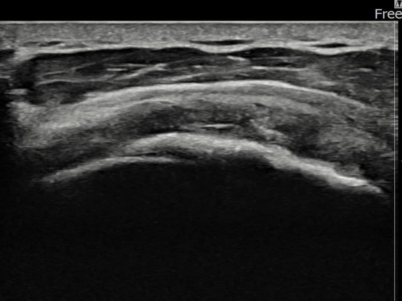
시술 전 초음파 측정 결과 파열 크기는 15mm × 6mm (힘줄 두께의 약 70% 결손)로 확인되었습니다. 시술 전 초음파에서 좌측 극상근건 전층에 걸친 광범위한 에코 단절과 심각한 힘줄 두께 감소가 확인되었습니다. 시술 후 초음파에서 광범위 파열 부위에 재생 조직이 형성되고 힘줄 연속성이 안정적으로 회복된 것이 관찰되었습니다.
담당 의료진 소견
50대 중반 남성 환자분으로, 좌측 어깨 광범위 파열로 타 병원에서 수술을 권유받으셨으나 비수술 치료를 원하셔서 내원하셨습니다. 팔을 들어 올리는 것 자체가 매우 힘들고 야간 통증이 극심한 상태였습니다. 정밀 초음파 검사에서 좌측 극상근건의 광범위 부분파열이 확인되었으며, 힘줄 두께가 현저히 감소된 상태였습니다. 파열 범위가 넓어 일반적인 주사 치료로는 회복이 어렵다고 판단하여 초음파 유도 하 축소봉합술을 시행하였습니다. 시술 후 보조기 착용 6주와 단계적 재활 운동을 통해 회복을 진행하였고, 시술 5주 후 추적 초음파에서 광범위 파열 부위의 구조적 안정화와 힘줄 연속성 회복이 확인되었습니다.
치료 결과 열람은 회원 전용 메뉴입니다
로그인하여 상세한 치료 결과를 확인해 보세요
※ 환자분에게 사전 동의를 받아 동일 조건에서 촬영되었으며, 개인에 따라 치료 후 부작용이 발생할 수도 있으니 사전에 의료진과 상담 후 치료를 진행하시기 바랍니다.