우측 어깨 통증과 팔을 특정 각도로 올릴 때 심해지는 충돌 증상으로 내원하셨습니다.
[촬영시기: 22.09.19~22.12.09]
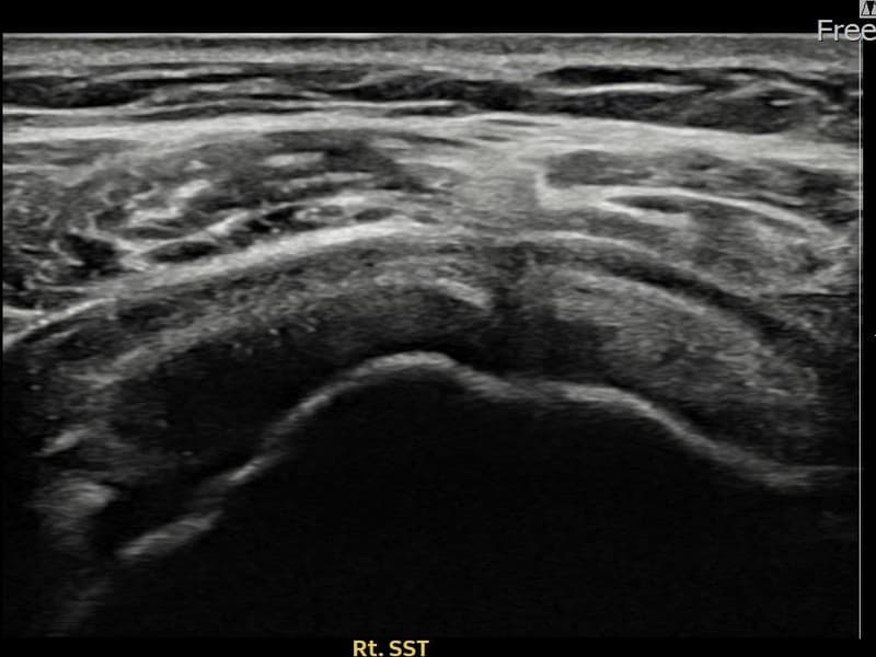
Before


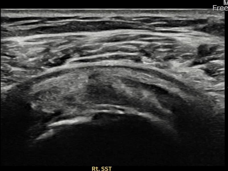
After


치료결과
시술 전 초음파 측정 결과 파열 크기는 7mm × 3mm (힘줄 두께의 약 30% 결손)로 확인되었습니다. 시술 전 초음파에서 우측 극상근건 관절면측의 에코 단절과 힘줄 결손 소견이 확인되었습니다. 시술 후 초음파에서 파열 부위에 재생 조직이 형성되고 힘줄 연속성이 회복된 것이 관찰되었습니다.
담당 의료진 소견
60대 초반 여성 환자분으로, 집안일과 텃밭 작업을 꾸준히 하시다가 우측 어깨 통증이 서서히 심해져 내원하셨습니다. 팔을 60~120도 구간에서 들어 올릴 때 충돌 통증이 심하고, 야간에도 어깨를 짓누르는 듯한 통증이 있어 수면에 지장이 있으셨습니다. 초음파 검사에서 우측 극상근건 관절면측 부분파열이 확인되었으며, 힘줄 내 에코 단절이 뚜렷한 상태였습니다. 수술 없이 초음파 유도 하 축소봉합술을 시행하였고, 당일 귀가 후 재활 운동을 단계적으로 진행하셨습니다. 시술 11주 후 추적 초음파에서 파열 부위 연속성이 회복되고 충돌 증상이 소실되어 정상 생활에 복귀하셨습니다.
치료 결과 열람은 회원 전용 메뉴입니다
로그인하여 상세한 치료 결과를 확인해 보세요
※ 환자분에게 사전 동의를 받아 동일 조건에서 촬영되었으며, 개인에 따라 치료 후 부작용이 발생할 수도 있으니 사전에 의료진과 상담 후 치료를 진행하시기 바랍니다.