우측 어깨 통증과 야간 통증으로 수면 장애가 있어 내원하셨습니다.
[촬영시기: 22.09.05~22.12.08]
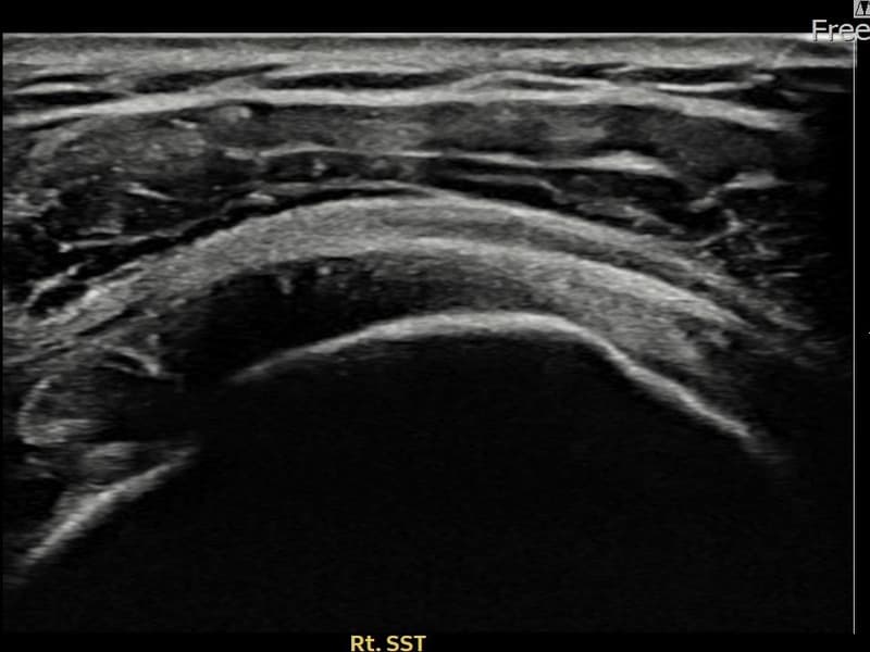
Before


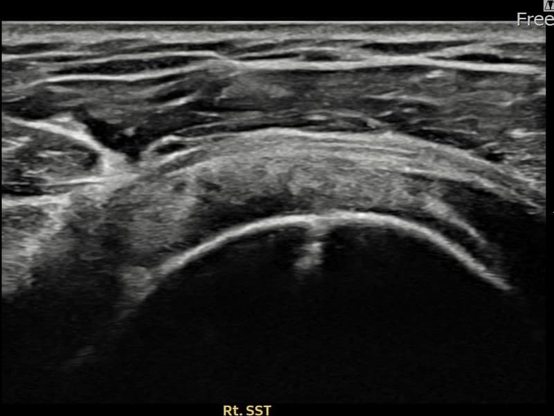
After


치료결과
시술 전 초음파 측정 결과 파열 크기는 9mm × 4mm (힘줄 두께의 약 38% 결손)로 확인되었습니다. 시술 전 초음파에서 우측 극상근건 관절면측의 에코 단절과 힘줄 내 저에코 결손 소견이 확인되었습니다. 시술 후 초음파에서 파열 부위가 재생 조직으로 채워지고 힘줄 연속성이 회복된 것이 관찰되었습니다.
담당 의료진 소견
50대 초반 남성 환자분으로, 우측 어깨 통증이 1년 이상 지속되었으나 바쁜 일상으로 치료를 미루시다 내원하셨습니다. 팔을 90도 이상 들어 올릴 때 통증이 심하고 야간 통증으로 옆으로 눕지 못하는 상태였습니다. 초음파 검사에서 관절면측 극상근건 부분파열이 확인되었으며, 수술 없이 초음파 유도 하 축소봉합술을 시행하였습니다. 시술 후 보조기 착용과 단계적 재활을 통해 진행하였고, 시술 13주 후 추적 초음파에서 파열 부위의 구조적 회복이 확인되어 정상 업무에 복귀하셨습니다.
치료 결과 열람은 회원 전용 메뉴입니다
로그인하여 상세한 치료 결과를 확인해 보세요
※ 환자분에게 사전 동의를 받아 동일 조건에서 촬영되었으며, 개인에 따라 치료 후 부작용이 발생할 수도 있으니 사전에 의료진과 상담 후 치료를 진행하시기 바랍니다.