좌측 어깨 부착부 부분파열로 팔을 들어 올릴 때마다 통증이 심해 내원하셨습니다.
[촬영시기: 22.09.02~22.11.15]
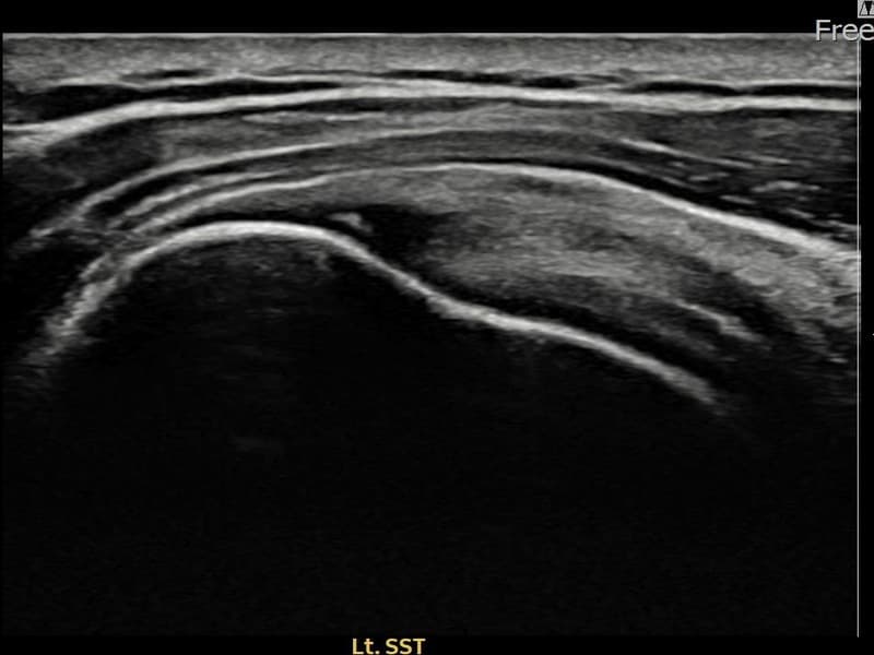
Before


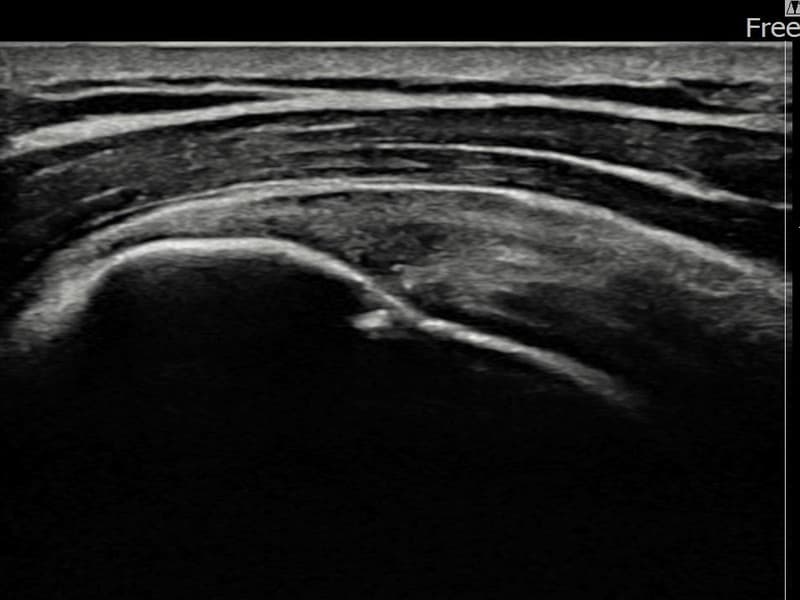
After


치료결과
시술 전 초음파 측정 결과 파열 크기는 9mm × 4mm (힘줄 두께의 약 38% 결손)로 확인되었습니다. 시술 전 초음파에서 좌측 극상근건 부착부의 뚜렷한 에코 단절과 힘줄 결손 소견이 확인되었습니다. 시술 후 초음파에서 부착부 연속성이 회복되고 결손 부위에 재생 조직이 형성된 것이 관찰되었습니다.
담당 의료진 소견
60대 중반 남성 환자분으로, 왼쪽 어깨 통증이 6개월 이상 지속되어 내원하셨습니다. 은퇴 후 농작업을 하시면서 반복적으로 팔을 들어 올리는 동작을 많이 하셨고, 처음에는 무거운 것을 들 때만 아프다가 점점 팔을 조금만 들어도 통증이 심해지는 상태로 진행되었습니다. 초음파 검사에서 좌측 극상근건 부착부 부분파열이 확인되었으며, 초음파 유도 하 축소봉합술을 시행하였습니다. 시술 후 단계적 재활 운동을 통해 꾸준히 회복을 진행하였고, 시술 10주 후 추적 초음파에서 부착부 힘줄 연속성이 완전히 회복된 것이 확인되어 정상 생활에 복귀하셨습니다.
치료 결과 열람은 회원 전용 메뉴입니다
로그인하여 상세한 치료 결과를 확인해 보세요
※ 환자분에게 사전 동의를 받아 동일 조건에서 촬영되었으며, 개인에 따라 치료 후 부작용이 발생할 수도 있으니 사전에 의료진과 상담 후 치료를 진행하시기 바랍니다.