우측 어깨 후방 통증과 외회전 시 심한 통증으로 내원하셨습니다.
[촬영시기: 22.08.13~22.10.29]
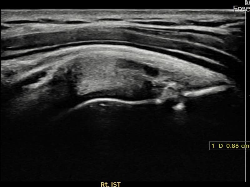
Before


After


치료결과
시술 전 초음파 측정 결과 파열 크기는 8.6mm × 4mm (힘줄 두께의 약 45% 결손)로 확인되었습니다. 시술 전 초음파에서 우측 극하근건 부착부의 에코 단절과 힘줄 결손 소견이 확인되었으며, 파열 크기는 8.6mm로 측정되었습니다. 시술 후 초음파에서 부착부 연속성이 회복되고 결손 부위에 재생 조직이 형성된 것이 관찰되었습니다.
담당 의료진 소견
30대 후반 남성 환자분으로, 헬스 및 수영을 즐기시다가 우측 어깨 후방 통증이 생겨 내원하셨습니다. 운동 중 어깨에 과도한 외회전 부하가 반복되어 극하근건이 손상된 것으로 판단되었습니다. 초음파 검사에서 극하근건 부착부 부분파열이 확인되었고, 파열 크기는 8.6mm로 의미 있는 손상이었습니다. 수술 없이 초음파 유도 하 축소봉합술을 시행하였으며, 시술 후 보조기 착용 6주와 단계적 재활 운동을 통해 회복을 진행하였습니다. 시술 11주 후 추적 초음파에서 부착부 힘줄 연속성이 회복되어 운동 활동에 복귀하셨습니다.
치료 결과 열람은 회원 전용 메뉴입니다
로그인하여 상세한 치료 결과를 확인해 보세요
※ 환자분에게 사전 동의를 받아 동일 조건에서 촬영되었으며, 개인에 따라 치료 후 부작용이 발생할 수도 있으니 사전에 의료진과 상담 후 치료를 진행하시기 바랍니다.