좌측 어깨 부착부 통증과 야간 통증으로 수면 장애가 있어 내원하셨습니다.
[촬영시기: 22.08.11~22.11.18]
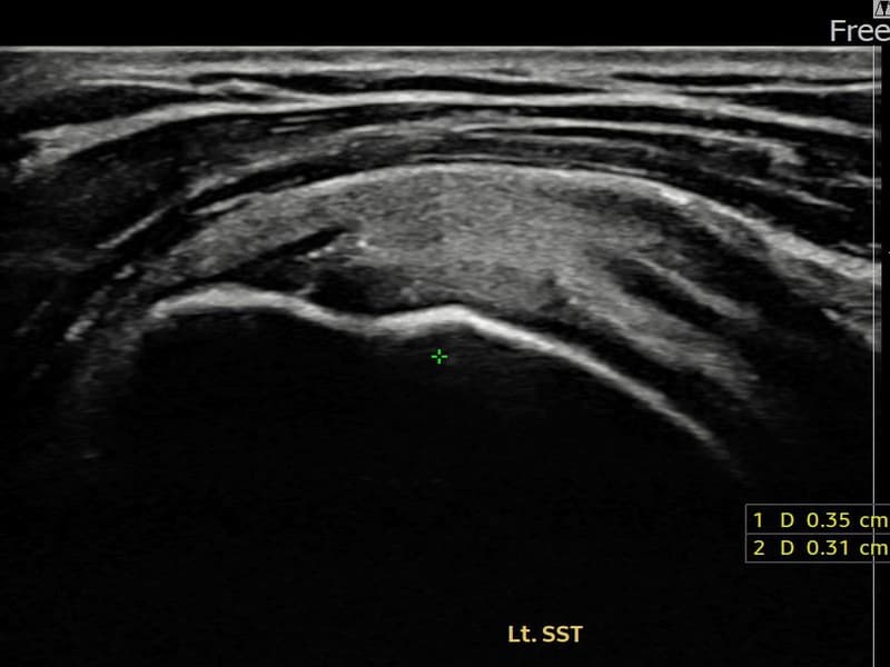
Before


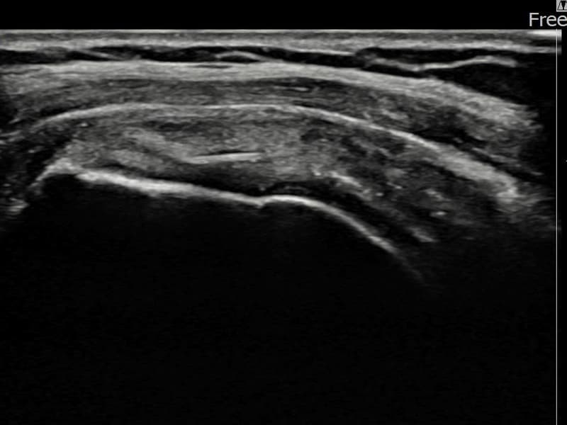
After


치료결과
시술 전 초음파 측정 결과 파열 크기는 5mm × 3mm (힘줄 두께의 약 25% 결손)로 확인되었습니다. 시술 전 초음파에서 좌측 극상근건 부착부의 에코 단절과 힘줄 결손 소견이 확인되었습니다. 시술 후 초음파에서 부착부 연속성이 회복되고 결손 부위에 재생 조직이 형성된 것이 관찰되었습니다.
담당 의료진 소견
50대 후반 여성 환자분으로, 왼쪽 어깨 부착부 통증이 지속되어 내원하셨습니다. 야간 통증이 심해 수면이 어렵고, 팔을 들어 올릴 때 날카로운 통증이 있어 일상 생활에 많은 불편함이 있으셨습니다. 초음파 검사에서 좌측 극상근건 부착부 부분파열이 확인되었으며, 초음파 유도 하 축소봉합술을 시행하였습니다. 시술 후 보조기 착용과 재활 운동을 통해 꾸준히 회복하였고, 시술 14주 후 추적 초음파에서 부착부 힘줄 연속성이 완전히 회복된 것이 확인되어 야간 통증이 소실되고 정상 수면이 가능해지셨습니다.
치료 결과 열람은 회원 전용 메뉴입니다
로그인하여 상세한 치료 결과를 확인해 보세요
※ 환자분에게 사전 동의를 받아 동일 조건에서 촬영되었으며, 개인에 따라 치료 후 부작용이 발생할 수도 있으니 사전에 의료진과 상담 후 치료를 진행하시기 바랍니다.