좌측 어깨 통증이 오래 지속되어 내원하셨습니다.
[촬영시기: 22.07.22~23.03.27]
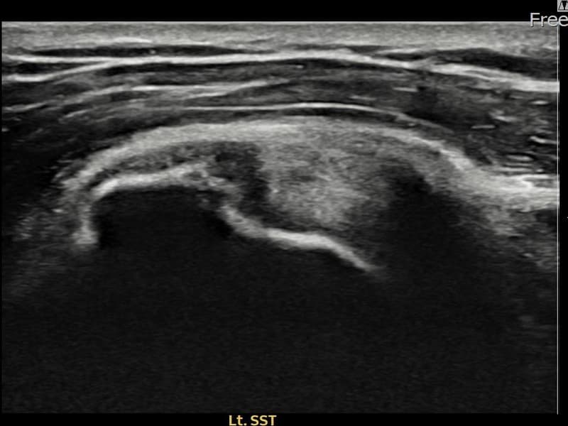
Before


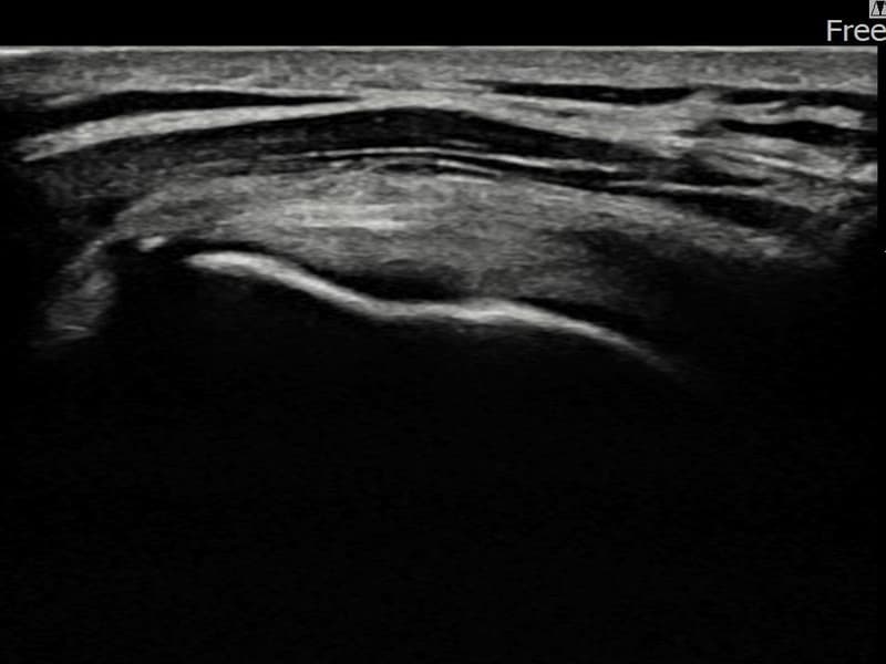
After


치료결과
시술 전 초음파 측정 결과 파열 크기는 7mm × 3mm (힘줄 두께의 약 30% 결손)로 확인되었습니다. 시술 전 초음파에서 좌측 극상근건 내 에코 단절과 힘줄 결손 소견이 확인되었습니다. 시술 후 8개월 추적 초음파에서 파열 부위에 재생 조직이 완전히 채워지고 힘줄 에코 패턴이 정상화된 것이 관찰되었습니다.
담당 의료진 소견
50대 중반 남성 환자분으로, 좌측 어깨 통증이 오래 지속되었으나 바쁜 일상으로 치료를 미루시다가 통증이 악화되어 내원하셨습니다. 초음파 검사에서 좌측 극상근건 부분파열이 확인되었으며, 초음파 유도 하 축소봉합술을 시행하였습니다. 이 환자분의 경우 시술 후 8개월 간격의 장기 추적 초음파를 시행하였는데, 파열 부위가 완전히 재생 조직으로 채워지고 힘줄 구조가 정상화된 우수한 결과를 보여주셨습니다. 현재 통증 없이 정상 생활을 하고 계십니다.
치료 결과 열람은 회원 전용 메뉴입니다
로그인하여 상세한 치료 결과를 확인해 보세요
※ 환자분에게 사전 동의를 받아 동일 조건에서 촬영되었으며, 개인에 따라 치료 후 부작용이 발생할 수도 있으니 사전에 의료진과 상담 후 치료를 진행하시기 바랍니다.