좌측 어깨 통증이 수개월째 지속되어 내원하셨습니다.
[촬영시기: 24.03.29~24.06.07]
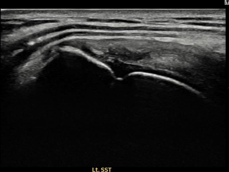
Before


After


치료결과
시술 전 초음파 측정 결과 파열 크기는 11mm × 4mm (힘줄 두께의 약 44% 결손)로 확인되었습니다. 시술 전 초음파에서 좌측 극상근건 부착부의 에코 단절과 힘줄 내 결손 소견이 확인되었습니다. 시술 후 초음파에서 부착부 연속성이 회복되고 결손 부위가 재생 조직으로 채워진 것이 관찰되었습니다.
담당 의료진 소견
50대 후반 남성 환자분으로, 건설 현장 관리직으로 근무하시며 팔을 자주 들어 올리는 작업을 반복해 오신 분이었습니다. 처음엔 야간에만 통증이 있었으나 점차 팔을 앞으로 올리는 동작 자체가 힘들어져 내원하셨습니다. 초음파 검사에서 좌측 극상근건 부착부의 부분파열이 확인되었으며, 수술 없이 초음파 유도 하 축소봉합술로 치료 가능하다고 판단하였습니다. 시술은 30분 이내에 완료되었고 당일 귀가하셨으며, 이후 단계적으로 재활 운동을 시행하였습니다. 시술 10주 후 추적 초음파에서 극상근건 부착부 연속성이 완전히 회복된 것이 확인되었고, 통증 없이 현장 복귀에 성공하셨습니다.
치료 결과 열람은 회원 전용 메뉴입니다
로그인하여 상세한 치료 결과를 확인해 보세요
※ 환자분에게 사전 동의를 받아 동일 조건에서 촬영되었으며, 개인에 따라 치료 후 부작용이 발생할 수도 있으니 사전에 의료진과 상담 후 치료를 진행하시기 바랍니다.