우측 어깨 광범위 파열로 수술을 권유받았으나 비수술 치료를 원해 내원하셨습니다.
[촬영시기: 23.12.26~24.03.15]
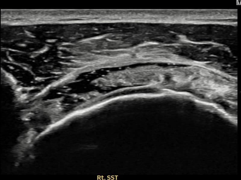
Before


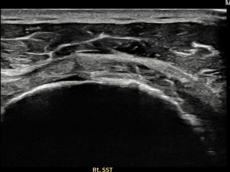
After


치료결과
시술 전 초음파 측정 결과 파열 크기는 16mm × 5mm (힘줄 두께의 약 75% 결손)로 확인되었습니다. 시술 전 초음파에서 우측 극상근건 관절면측의 광범위한 에코 단절과 힘줄 두께의 심각한 감소가 확인되었습니다. 시술 후 초음파에서 광범위 파열 부위에 재생 조직이 형성되고 힘줄 연속성이 안정적으로 회복된 것이 관찰되었습니다.
담당 의료진 소견
60대 초반 남성 환자분으로, 타 병원 두 곳에서 전층파열 직전 단계라며 수술을 권유받으셨으나 수술 후 재활 기간과 합병증 위험 때문에 비수술 치료를 원해 내원하셨습니다. 정밀 초음파 검사에서 관절면측 극상근건의 광범위한 부분파열이 확인되었으며, 힘줄 두께가 건측 대비 75% 이상 감소된 상태였습니다. 파열 범위가 넓어 일반적인 주사 치료나 물리치료로는 구조적 회복이 어렵다고 판단하였으며, 초음파 유도 하 축소봉합술을 시행하였습니다. 시술 후 보조기 착용 6주를 유지하며 단계적 재활을 진행하였고, 11주 후 추적 초음파에서 재생 조직 형성과 힘줄 연속성 회복이 확인되어 수술 없이 안정적인 치료 결과를 얻으셨습니다.
치료 결과 열람은 회원 전용 메뉴입니다
로그인하여 상세한 치료 결과를 확인해 보세요
※ 환자분에게 사전 동의를 받아 동일 조건에서 촬영되었으며, 개인에 따라 치료 후 부작용이 발생할 수도 있으니 사전에 의료진과 상담 후 치료를 진행하시기 바랍니다.