우측 어깨 야간 통증과 팔 올리기 제한으로 내원하셨습니다.
[촬영시기: 23.12.26~24.03.15]
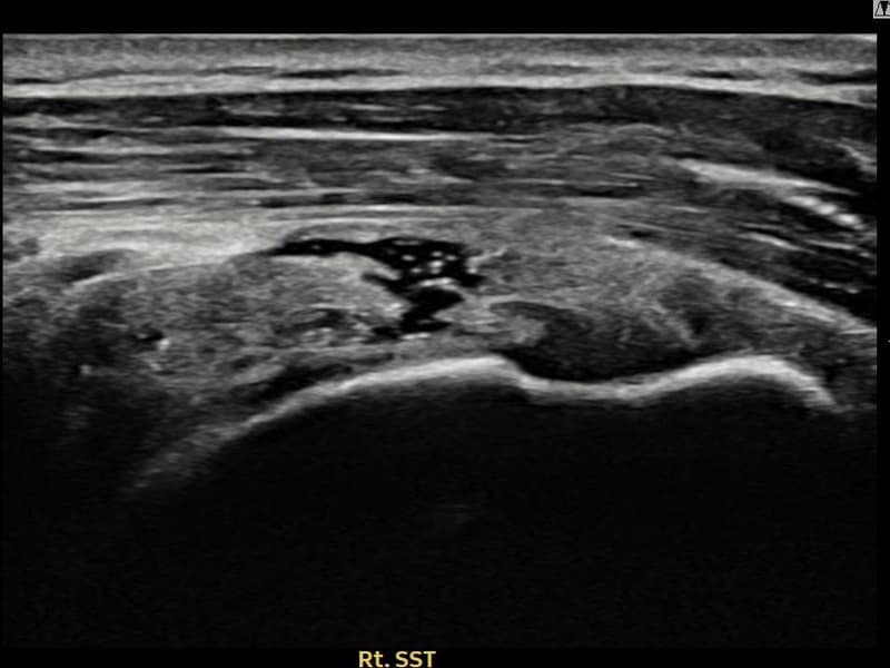
Before


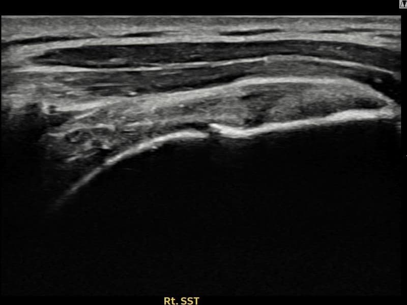
After


치료결과
시술 전 초음파 측정 결과 파열 크기는 9mm × 4mm (힘줄 두께의 약 38% 결손)로 확인되었습니다. 시술 전 초음파에서 우측 극상근건 내 에코 단절과 함께 건내 고에코 석회화 소견이 동반 확인되었습니다. 시술 후 초음파에서 파열 부위의 연속성이 회복되고 석회화 부위의 에코 패턴이 개선된 것이 관찰되었습니다.
담당 의료진 소견
50대 후반 여성 환자분으로, 야간 통증이 극심하여 어깨를 아래로 향하고 자도 통증이 느껴지는 상태로 내원하셨습니다. 초음파 검사에서 극상근건 부분파열과 함께 건내 석회화가 동반된 복합 소견이 확인되었습니다. 석회화와 파열이 함께 존재하는 경우 충격파만으로는 힘줄 구조 회복이 어려워 초음파 유도 하 축소봉합술을 선택하였습니다. 시술은 30여 분에 완료되었고 당일 귀가 가능하셨으며, 이후 보조기를 착용하며 단계적 재활을 진행하였습니다. 시술 11주 후 추적 초음파에서 파열 부위 연속성 회복과 함께 석회화 소견도 뚜렷이 감소한 것이 확인되어 야간 통증 없이 정상 생활에 복귀하셨습니다.
치료 결과 열람은 회원 전용 메뉴입니다
로그인하여 상세한 치료 결과를 확인해 보세요
※ 환자분에게 사전 동의를 받아 동일 조건에서 촬영되었으며, 개인에 따라 치료 후 부작용이 발생할 수도 있으니 사전에 의료진과 상담 후 치료를 진행하시기 바랍니다.