좌측 어깨 광범위 파열로 팔 들어올리기가 매우 어려웠습니다.
[촬영시기: 25.08.20~25.11.18]
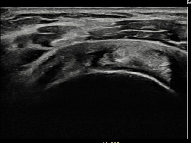
Before


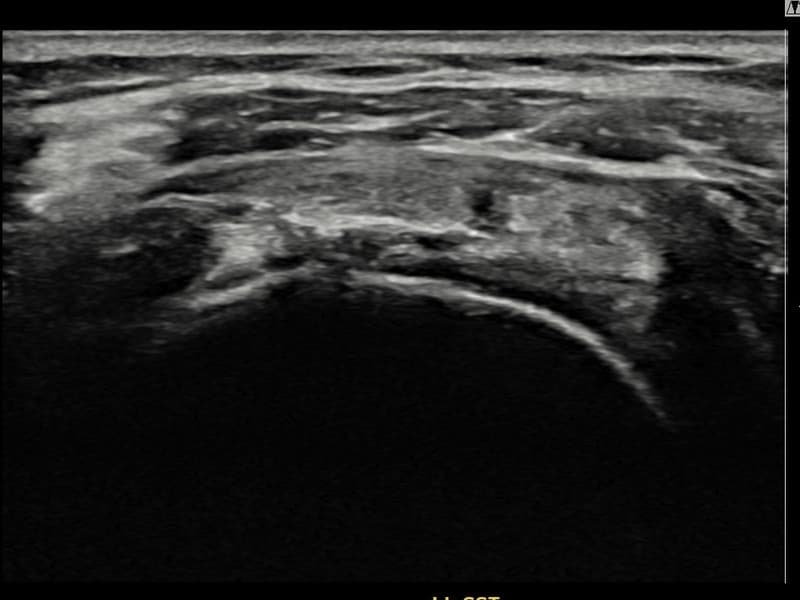
After


치료결과
시술 전 초음파 측정 결과 파열 크기는 14mm × 7mm (힘줄 두께의 약 65% 결손)로 확인되었습니다. 시술 전 초음파에서 좌측 극상근건 점액낭면측의 광범위한 에코 소실과 힘줄 경계의 불규칙성이 확인되었습니다. 시술 후 초음파에서 힘줄 경계가 정상화되고 에코 패턴이 균질하게 회복된 것이 관찰되었습니다.
담당 의료진 소견
50대 초반 여성 환자분으로, 가사 노동과 직장 업무를 병행하며 왼쪽 어깨 통증이 점점 심해져 내원하셨습니다. 초음파 검사에서 좌측 극상근건 점액낭면측의 광범위 부분파열이 확인되었으며, 파열 면적이 넓어 일반적인 보존적 치료로는 구조적 회복이 어렵다고 판단하였습니다. 초음파 유도 하 축소봉합술을 시행하였고 시술 당일 귀가하셨으며, 이후 체계적인 재활 프로그램을 진행하였습니다. 시술 13주 후 추적 초음파에서 힘줄 연속성이 안정적으로 회복되고 점액낭면측 경계가 정상화된 것이 확인되어 통증 없이 직장 복귀에 성공하셨습니다.
치료 결과 열람은 회원 전용 메뉴입니다
로그인하여 상세한 치료 결과를 확인해 보세요
※ 환자분에게 사전 동의를 받아 동일 조건에서 촬영되었으며, 개인에 따라 치료 후 부작용이 발생할 수도 있으니 사전에 의료진과 상담 후 치료를 진행하시기 바랍니다.