좌측 어깨 통증으로 팔을 옆으로 들어올리기 어려워 내원하셨습니다.
[촬영시기: 25.08.20~25.11.18]
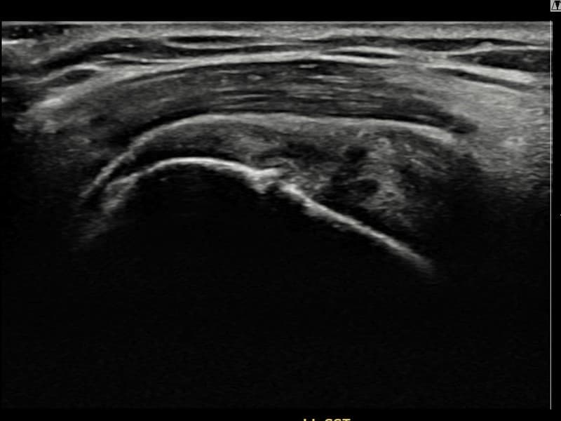
Before


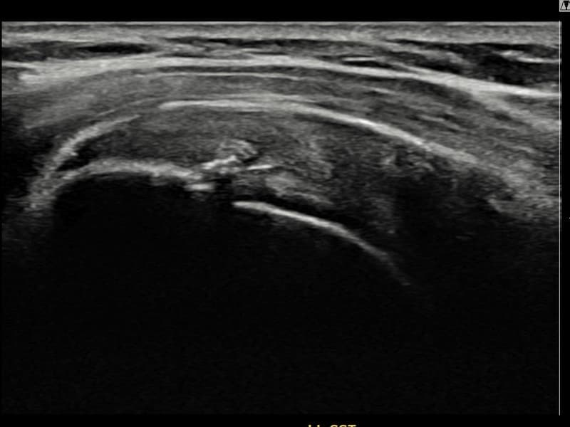
After


치료결과
시술 전 초음파 측정 결과 파열 크기는 8mm × 3mm (힘줄 두께의 약 30% 결손)로 확인되었습니다. 시술 전 초음파에서 좌측 극상근건 관절면측의 에코 소실과 힘줄 경계 불명확화가 확인되었습니다. 시술 후 초음파에서 관절면측 힘줄 경계가 선명해지고 에코 패턴이 정상으로 회복된 것이 관찰되었습니다.
담당 의료진 소견
40대 후반 여성 환자분으로, 테니스를 즐겨 하시다 왼쪽 어깨에 통증이 생겨 운동을 중단하셨습니다. 이후 일상적인 동작에서도 통증이 지속되어 내원하셨으며, 초음파 검사에서 좌측 극상근건 관절면측 부분파열이 확인되었습니다. 파열 범위가 비교적 초기 단계이나 방치 시 진행될 수 있어 조기에 초음파 유도 하 축소봉합술을 시행하였습니다. 시술은 20분 이내에 완료되었고 당일 귀가하셨으며, 보조기 착용 4주 후 단계적 운동 복귀 프로그램을 진행하였습니다. 시술 13주 후 추적 초음파에서 극상근건 관절면측 연속성이 완전히 회복된 것이 확인되어 테니스 복귀에 성공하셨습니다.
치료 결과 열람은 회원 전용 메뉴입니다
로그인하여 상세한 치료 결과를 확인해 보세요
※ 환자분에게 사전 동의를 받아 동일 조건에서 촬영되었으며, 개인에 따라 치료 후 부작용이 발생할 수도 있으니 사전에 의료진과 상담 후 치료를 진행하시기 바랍니다.