우측 어깨 파열이 진행된 상태로 수술 없이 치료를 원해 내원하셨습니다.
[촬영시기: 23.09.09~23.12.15]
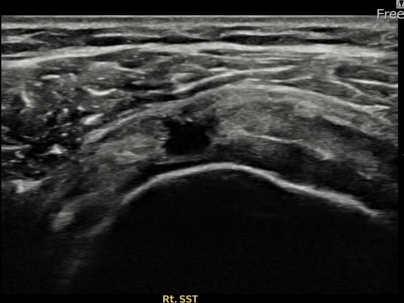
Before


After


치료결과
시술 전 초음파 측정 결과 파열 크기는 12mm × 7mm (힘줄 두께의 약 55% 결손)로 확인되었습니다. 시술 전 초음파에서 우측 극상근건의 광범위한 에코 단절과 힘줄 내 복합 소견이 확인되었습니다. 시술 후 초음파에서 파열 부위에 재생 조직이 형성되며 힘줄 연속성이 회복된 것이 관찰되었습니다.
담당 의료진 소견
50대 중반 남성 환자분으로, 우측 어깨 통증이 오래되어 파열이 상당히 진행된 상태였습니다. 다방향에서 초음파 평가를 시행한 결과 관절면측 파열이 넓게 퍼진 진행형 소견이 확인되었습니다. 파열 범위가 넓어 일반 보존 치료로는 한계가 있다고 판단하여 초음파 유도 하 축소봉합술을 시행하였습니다. 시술 후 충분한 보조기 착용 기간을 유지하고 단계적 재활을 진행하였으며, 14주 후 추적 초음파에서 파열 부위의 구조적 안정화가 확인되었습니다.
치료 결과 열람은 회원 전용 메뉴입니다
로그인하여 상세한 치료 결과를 확인해 보세요
※ 환자분에게 사전 동의를 받아 동일 조건에서 촬영되었으며, 개인에 따라 치료 후 부작용이 발생할 수도 있으니 사전에 의료진과 상담 후 치료를 진행하시기 바랍니다.