어깨 통증이 6개월 이상 지속되어 내원하셨습니다.
[촬영시기: 23.10.17~23.12.19]
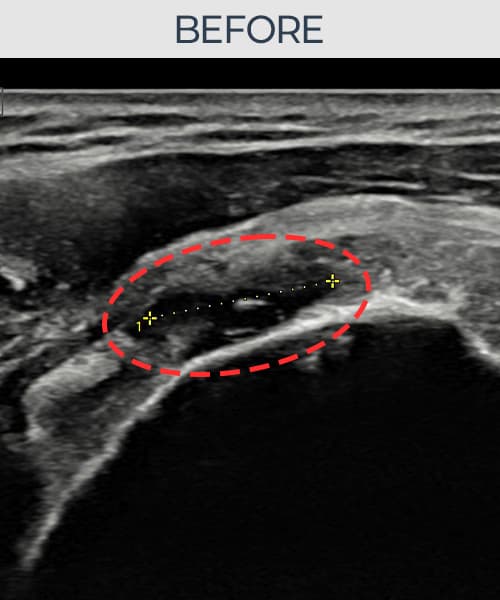
Before


After


치료결과
시술 전 초음파 측정 결과 파열 크기는 14mm × 7mm (힘줄 두께의 약 68% 결손)로 확인되었습니다. 시술 전 초음파에서 6개월 이상 방치로 인한 관절면측 회전근개 결손과 힘줄 위축 소견이 관찰되었습니다. 시술 후 초음파에서 파열 부위의 인대 연속성이 완전히 회복되었고, 인대 두께가 정상 범위로 복원된 것이 확인되었습니다.
담당 의료진 소견
70대 초반 남성 환자분으로, '나이 들면 으레 아픈 거겠지' 하며 6개월 이상 진통제로만 버티다 보행과 수면에 지장이 생겨서야 내원하셨습니다. 내원 당시 어깨를 90도 이상 올리기 어려운 상태였으며, 초음파 검사에서 관절면측 회전근개의 결손과 인대 위축이 상당히 진행된 것이 확인되었습니다. 고령임에도 전신 상태가 양호하고 파열이 관절면측에 국한되어 있어 비수술 축소봉합술이 적합하다고 판단하였습니다. 시술 후 보조기 착용 및 충분한 회복 기간을 확보하였으며, 65세 이후 조직 회복 속도를 고려해 재활 일정을 보수적으로 운영하였습니다. 시술 3개월 후부터 진통제 없이 수면이 가능해지셨고, 최종 경과 관찰에서 인대 연속성이 완전히 회복되어 일상 보행과 가벼운 운동이 가능한 상태가 되셨습니다.
치료 결과 열람은 회원 전용 메뉴입니다
로그인하여 상세한 치료 결과를 확인해 보세요
※ 환자분에게 사전 동의를 받아 동일 조건에서 촬영되었으며, 개인에 따라 치료 후 부작용이 발생할 수도 있으니 사전에 의료진과 상담 후 치료를 진행하시기 바랍니다.