어깨는 우리 몸중 가장 움직임이 자유로운 관절 부위 입니다. 무릎, 발목, 허리 등 다른 관절과 달리 신체에서 유일하게 360도 회전이 가능한 부위가 바로 어깨 입니다. 그런데 문제는 관절의 움직임이 크고 자유로운 만큼 부상 발병의 위험도도 다른 관절 보다 높은편 입니다. 실제로 운동을 하다가 어깨를 다치는 경우도 많지만 어느날 갑자기 일상생활 속에서 어깨통증을 겪는 사례가 더 많습니다.

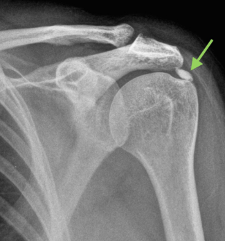
이는 운동 이외 에도 가사노동이나 직업적으로 어깨를 과하게 많이 반복적으로 사용하면서 어깨 질병을 초래할 가능성이 높아지기 때문입니다. 수많은 어깨질병 중에서도 어깨힘줄에 돌이 생기는 석회성건염은 매우 극심한 어깨통증을 일으키는 질병입니다. 어깨 석회성건염은 어깨를 감싸는 힘줄과 연부 조직에 생긴 석회가 끼이는 질병 입니다. 이렇게 힘줄사이에 끼인 석회는 주변을 자극하고 염증을 유발하고 심한 어깨통증을 만들어 냅니다. 어깨를 둘러 싸고 있는 힘줄인 회전근개에 퇴행변화나 혈류 장애로 인해 칼슘 성분이 쌓일 경우 석회성물질로 변하며 이것을 '석회'라 불리게 됩니다.

어깨 석회성건염은 평소에는 어깨통증이 없다가도 갑작스럽게 심한 통증이 생기는 것이 특징이며 주로 나타나는 증상은 어깨에 불이 난것 같은 느낌이 들고 잠을 잘때 자세를 바꿔 아픈 어깨쪽으로 돌아 누우면 심한 통증이 느껴지게 됩니다. 또한 어깨를 만지지도 못할 정도로 아프며 팔을 전혀 움직이지 않았음에도 불구 하고 어깨통증이 있고 어깨 부터 시작 해서 팔과 목으로 통증이 이어 지는 느낌도 있으며 밤에 통증이 더 심해지는 것등의 증상이 있습니다. 이중 3가지 이상의 증상이 있다면 어깨 석회성건염을 의심 해야 합니다.

의학적에서 통증의 정도를 'vas score' 로 나타 냅니다. 0~10점 만점으로 측정하게 되는데 0점에 가까울수록 통증이 없다는 뜻이고 10점으로 갈수록 통증의 정도가 심하다 표현 하게 됩니다. 보통 출산의 고통이 6점~7점 인것에 비해 어깨 석회성건염 으로 인한 통증은 8~9점으로 산고의 통증보다 어깨 석회성건염의 통증 정도가 높다고 되어 있습니다. 어깨 석회성건염은 밤마다 심한 어깨통증을 유발 합니다. 밤에 잠을 이루기 힘들 정도로 어깨통증이 극심한데 비해 낮에는 어깨통증이 덜합니다. 팔이 쿡쿡 쑤시거나 찌르는 듯한 날카로운 어깨통증이 느껴집니다. 가끔 통증이 나타났다 사라지는것이 반복 되기도 합니다. 아픈 팔을 앞이나 옆으로 들어 올리는것도 당연히 제한되게 됩니다.

어깨 석회성건염은 진단을 통해 어깨 석회성건염이 밝혀지면 치료가 상대적으로 쉽습니다. 어깨통증을 유발하는 원인인 석회 이물질을 제거 하거나 석회 사이즈를 줄일수 있게 흡수 시키면 어깨통증이 완화 됩니다. 어깨 석회성건염의 단계는 크게 형성기, 유지기, 흡수기 3단계로 분류 됩니다. 석회로 인해 강장 통증을 많이 느끼는 시기가 바로 흡수기 입니다. 석회가 갑자기 녹는 시기인 흡수기때 심한 어깨통증을 유발하는 화학물질이 나오는데요 이로 인해 극심한 어깨통증과 어깨 가동 범위 운동 제한이 나타나는 것입니다. 석회질이 흡수기에 들어서면서 석회는 부피가 늘어나게 되고 그러면서 회전근개 내의 압력이 증가 되어 어깨통증이 극심 하게 발생 됩니다. 흡수기때 석회가 다 녹지 않을 경우 어깨통증도 잠시 멈추게 됩니다. 따라서 많은 분들이 이를 자연치유되었구나 생각하며 증상을 방치 하기도 합니다. 하지만 다 녹지 않은 석회가 나중에 다시 또 흡수기로 돌입된다면 또 다시 극심한 어깨통증이 나타날수 있습니다. 어깨 석회성건염의 진단과 동시 적절한 어깨석회치료가 이루어져야 합니다. 어깨석회치료는 기본적으로 석회로 인해 발생한 어깨 염증의 완화 시키는것 부터 시작해 원인이 되는 석회를 제거 또는 흡수 하며 촉진 시켜줄수 있는 어깨석회치료를 시행 하게 됩니다. 만약 석회로 인해 오십견이 발생한 경우는 관절가동범위에 제한이 생겼을수 있기에 재활운동을 추가적으로 진행 합니다. 형성기의 석회는 어깨통증이 극심하기 때문에 석회를 제거 해주는것이 어깨석회치료에 빠른 효과를 줄수 있습니다.

석회의 제거는 체외충격파로 힘줄의 혈류 공급을 원활하게 해주거나 사이즈가 큰 어깨석회치료는 초음파 유도하에 특수 바늘을 이용하여 딱딱하고 큰 석회질을 분쇄 하여 주사기를 이용 하여 흡입해주는 석회분쇄흡입술을 시행 할 수 있습니다. 어깨석회치료 뉴핌스치료 석회분쇄흡입술의 장점은 관절경 수술 없이도 어깨 힘줄 내에 침착되어 있는 석회를 주사기를 이용해 제거 해낼수 있다는 것입니다. 초음파를 통해 정상적인 회전근개힘줄은 건드리지 않고 석회가 있는 조직만 집중 타켓팅 하여 어깨석회치료 할수 있는것도 장점 입니다. 어깨석회치료 뉴핌스치료는 석회가 녹고 있는 급성 통증기때 시행 하면 효과적 입니다.


보통 1회성의 어깨석회치료 뉴핌스치료를 시행 하지만 석회가 단단하게 굳어져 있는 상태라면 치료의 횟수가 증가 되기도 합니다. 다만 주의 해야할 점은 어깨석회치료 석회분쇄흡입술 이후 어깨통증이 사라졌다고 해도 석회로 인한 염증성 유착반응과 어깨관절 강직을 예방 하기 위해 추가적으로 어깨 스트레칭 및 재활운동치료를 꼭 시행 해야 한다는 점입니다. 또한 어깨석회치료시 주사기를 이용해 어깨관절 내에 있는 모든 석회를 다 뽑아 낼수는 없으므로 석회분쇄흡입술 이후에 어깨에 남아 있는 석회는 추가적으로 체외충격파를 통해 흡수 시켜야 합니다. 이때 체외충격파는 잔존 하는 석회를 분쇄 시킬 뿐만 아니라 어깨 주변의 혈류를 증가하고 세포를 재생 시켜주는 효과가 있습니다. 어깨 석회성건염 증상 초기엔 단순한 어깨 근육통으로 생각할수 있어 증상을 방치 한채 자가 치료를 하기도 합니다. 또한 오십견이나 회전근개파열처럼 흔한 질병과 혼동 하는 경우도 많습니다. 혼자만의 판단은 증상 악화는 물론 잘못된 치료 적용에 따른 다양한 부작용을 초래 할수 있으므로 꼭 주의 하고 심한 어깨통증이 유발 될 경우는 꼭 병원에 방문 해서 빠르게 진단 및 어깨석회치료 하시는것을 권장 해드립니다.



