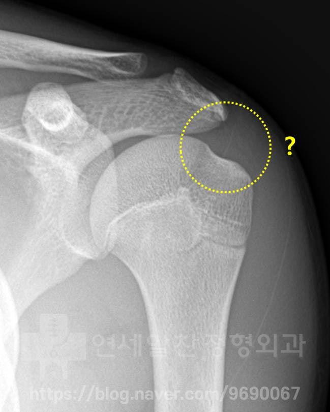
어깨 석회성건염이나 힘줄 손상, 근육 파열 등으로 치료가 필요할 때 병원에 가면 X-ray나 초음파, MRI를 찍자고 권하는 경우가 많습니다. 이때 MRI를 찍어야 가장 정확히 잘 알 수 있다 생각하는 환자들이 있습니다만 어깨 석회성건염을 치료할 때나 오십견, 회전근개파열 등 어깨가 아플때 꼭 MRI를 찍어야 하는 것은 아닙니다. 그렇다면 언제, 어떻게 해야 제대로 치료 받을 수 있는 걸까요? 얼마 전 회전근개파열 치료를 꾸준히 받아도 증상이 호전되지 않아 본원을 찾아온 환자분이 있었습니다. 이전 병원에서 MRI 촬영 결과 회전근개 부분 파열이 있다는 진단을 받고 치료를 위해 고가의 재생주사를 7~8회 반복했음에도 증상의 호전이 없어 답답한 마음에 본원을 찾으셨는데요. 우선 이 환자의 X-ray 와 MRI 를 살펴보도록 하겠습니다.

X-ray 사진에서 보았을때 전혀 문제 없는 정상적인 소견이 관찰되었습니다.

MRI 를 살펴보았을 때 노란 점선안에 보이는 극상근 부위에서 화살표 부위로 표시된 곳이 약간 하얗게 보이는 소견이 관찰됩니다. 이는 극상근내 염증소견이 있는 것을 나타내며 이것을 부분 파열이라고 진단하고 재생주사치료를 한 것으로 보입니다. 하지만 이 MRI 소견으로는 단순 염증 정도로 보이며 파열까지는 진행되지 않은 것으로 보입니다. 시간이 어느정도 경과 되었기 때문에 초음파를 통해 다시 한번 검사를 해 보기로 하였습니다.

이 초음파 사진에서 보면 극상근을 길게 찍은 사진입니다. 노란색 점선안에 화살표로 표시된 부위를 보면 하얀 점이 2개정도 관찰되며 이것이 석회입니다. 1mm 도 안되는 작은 미세석회인데 이것 주위로 인대가 검게 변한것이 관찰됩니다. 초음파 상에서 인대는 하얗게 보이는 것이 정상인데 그 주위로 검게 보이는 것은 염증이 있다는 의미입니다.

이 초음파 사진은 극상근의 단면을 찍은 사진으로 위의 사진과 마찬처럼 노란 점선안의 화살표로 표시된 부위에 석회가 관찰되며 그 주위가 검게 변한것이 관찰됩니다. 즉 이 환자의 경우 미세한 석회로 인한 극상근의 염증이 심하게 있었던 것으로 판단되었으며 충격파 치료 5회 정도 시행 후 증상이 호전되었습니다. 이렇게 미세한 석회가 있는 경우 X-ray 에서 관찰되지 않는 경우가 많으며 MRI 의 경우 4mm 단위로 검사가 진행되기 때문에 4mm 보다 작은 석회의 경우 발견하지 못하는 경우가 있습니다. 초음파의 경우 시술자가 기기를 움직이면서 인대전체를 실시간으로 검사하기 때문에 초음파의 해상도가 좋고, 시술자의 경험이 풍부하다면 MRI가 아닌 초음파를 통해 어깨 석회성건염을 찾아내어 구체적인 치료가 진행될 수 있습니다. 다른 환자의 경우도 보겠습니다. 이번에 말씀드릴 환자의 경우 MRI 검사 후 인대가 파열 되었다는 이야기를 들었고 수술을 권고 받은 경우입니다. 환자는 수술적 치료를 하기전에 다시 한 번 확인하고자 본원으로 내원하였습니다. 그럼 X-ray 와 MRI 를 살펴보도록 하겠습니다.

X-ray 상에서는 정상적인 소견이 관찰됩니다.

MRI 상에서 극상근 부위에 정상적으로는 검게 보여야 할 인대가 하얗게 보이면서 심한 염증소견이 보이고 있습니다. 이것을 심한 건증(인대가 약해진것)으로 판단하고 이것에 대한 봉합술을 권고 받은 것으로 보입니다. 하지만 자세히 보면 MRI 상에서 극상근 안에 조그만 까만 점이 보이는 것이 보이며 미세한 석회로 생각됩니다. 그래서 초음파 검사를 통해 다시 한번 확인해 보기로 하였습니다.

초음파 사진에서 확인하면 노란점선내 화살표로 표시된 부위에서 하얀 점이 3개 관찰되며 그 주위로 검세 변한 것이 관찰됩니다. 즉 미세한 석회로 인한 염증이 아주 심하게 발생된 것으로 판단됩니다. 이 환자의 경우도 충격파치료 7회 시행 후 증상이 호전되었습니다. 대부분의 어느정도 크기의 어깨 석회성건염은 X-ray 만으로도 충분히 진단할 수 있습니다. 하지만 크기가 작은 미세석회의 경우 X-ray 에서 보이지 않을 수 있습니다. 많은 분들이 어깨 석회성건염 치료 할 때 꼭 MRI를 촬영해야한다 생각하시지만 MRI 의 경우 4mm 간격으로 검사가 진행되기 때문에 4mm 보다 작은 석회에 대해서는 놓치는 경우가 발생될 수 있습니다. 이때 초음파의 경우 해상도가 좋고, 초음파 경험이 풍부한 의사를 통해 어깨 석회성건염 치료를 할 경우 미세석회와 같은 작은 석회도 찾아 낼 수 있으며 석회의 양상 ( 형성기의 딱딱한 석회인지, 흡수기의 치즈같은 석회인지)을 구분할 수도 있으며 치료 방향을 선택하는데 매우 유용한 검사라 생각됩니다.

